Bọc sứ răng cửa bị thưa có được không? Đây là thắc mắc của nhiều người khi muốn khắc phục tình trạng răng cửa bị thưa, gây ảnh hưởng đến thẩm mỹ nụ cười. Với phương pháp bọc sứ răng cửa, bạn hoàn toàn có thể sở hữu hàm răng đều đẹp, tự nhiên và tự tin hơn. Bài viết sau đây sẽ cung cấp đầy đủ thông tin về lợi ích, quy trình và những lưu ý khi thực hiện bọc sứ răng cửa để khắc phục răng thưa.

Răng cửa thưa là gì? Tại sao nên bọc răng sứ cho răng cửa thưa?
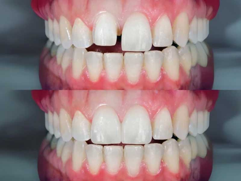
Răng cửa thưa là gì?
Răng cửa thưa là tình trạng xảy ra khi giữa hai răng cửa hoặc giữa răng cửa và các răng lân cận xuất hiện những khoảng trống dễ nhận thấy. Những khoảng cách này làm cho hàm răng trở nên thiếu đồng đều và mất đi sự hài hòa về thẩm mỹ, đặc biệt là khi cười hoặc giao tiếp. Tình trạng thưa răng cửa có thể xảy ra ở hàm trên, hàm dưới, hoặc thậm chí cả hai hàm, tùy thuộc vào cấu trúc hàm và răng của mỗi người.

Tại sao nên bọc răng sứ cho răng cửa thưa?
Bọc răng sứ cho răng cửa thưa không chỉ giúp che lấp khoảng cách giữa các răng mà còn mang đến nhiều lợi ích vượt trội khác:
- Che lấp khe hở, cải thiện thẩm mỹ: Khoảng cách giữa răng cửa được làm đầy bởi lớp sứ, giúp răng trở nên đều đặn và hài hòa với khuôn mặt. Răng sứ được chế tác với màu sắc và độ trong tự nhiên, tạo ra vẻ ngoài rạng rỡ mà vẫn giữ được sự tự nhiên.
- Tăng độ chắc chắn và bảo vệ răng thật: Khi bọc răng sứ, lớp sứ sẽ bảo vệ răng thật khỏi sự mài mòn và tác động từ thức ăn và vi khuẩn. Điều này đặc biệt quan trọng đối với răng cửa, vốn chịu nhiều tác động từ hoạt động nhai và cắn hằng ngày.
- Khắc phục chức năng nhai và hỗ trợ phát âm: Răng cửa thưa có thể gây khó khăn trong việc nhai và làm ảnh hưởng đến cách phát âm một số âm thanh. Bọc răng sứ cho răng thưa giúp lấp đầy khoảng cách, hỗ trợ nhai tốt hơn và cải thiện rõ rệt trong giao tiếp.
- Giải pháp lâu dài, tiết kiệm thời gian: Phương pháp bọc răng sứ cửa mang đến hiệu quả lâu dài với độ bền cao, lên đến 10-15 năm nếu được chăm sóc đúng cách. Thời gian thực hiện quy trình bọc răng sứ cũng tương đối nhanh chóng, giúp tiết kiệm thời gian cho người sử dụng so với nhiều phương pháp khác.
Xem thêm: Làm răng sứ có hôi miệng không?
Nguyên nhân khiến răng cửa bị thưa
Răng cửa bị thưa có thể do nhiều nguyên nhân khác nhau, bao gồm các yếu tố về di truyền, thói quen xấu, và các vấn đề nha khoa cụ thể. Dưới đây là một số nguyên nhân phổ biến:
- Di truyền: Nếu trong gia đình có người bị thưa răng, khả năng cao là bạn cũng có thể bị thưa răng do yếu tố di truyền ảnh hưởng đến hình dạng và kích thước của răng và xương hàm.
- Sự phát triển không đều của răng và xương hàm: Khi kích thước của xương hàm lớn hơn so với kích thước của răng, các răng sẽ không khít lại với nhau, dẫn đến tình trạng răng bị thưa.
- Mất răng: Khi một chiếc răng bị mất đi (do nhổ, tai nạn, hoặc tự nhiên), các răng xung quanh có thể di chuyển, tạo ra khoảng trống và gây ra thưa răng.
- Thói quen xấu từ nhỏ: Một số thói quen như mút tay, dùng lưỡi đẩy răng, hoặc dùng tăm xỉa răng quá mạnh có thể làm răng bị dịch chuyển, gây ra thưa răng.
- Các bệnh lý về nướu: Bệnh viêm nướu, viêm quanh răng hay các vấn đề liên quan đến sức khỏe nướu cũng có thể làm cho xương ổ răng bị suy giảm, khiến răng di chuyển và trở nên thưa.
- Thay đổi trong quá trình phát triển: Khi trẻ em thay răng sữa, các răng vĩnh viễn có thể mọc không đồng đều hoặc có kích thước không tương xứng, dẫn đến răng bị thưa.
Răng cửa thưa có ảnh hướng như thế nào?
- Làm giảm vẻ đẹp của khuôn mặt: Răng cửa bị thưa khiến ngoại hình của bạn trở nên kém thu hút hơn, và có thể gây ra sự e ngại khi bạn muốn cười nói hoặc tương tác tự nhiên với người khác. Điều này sẽ tác động không nhỏ đến các mối quan hệ xã hội.
- Vấn đề sức khỏe răng miệng: Tình trạng răng thưa có thể gây ra nhiều vấn đề, làm tăng nguy cơ mắc các bệnh nhiễm trùng răng miệng do vi khuẩn. Điều này xảy ra vì thức ăn dễ bị mắc kẹt trong các khe hở giữa các răng thưa. Nếu không được vệ sinh sạch sẽ, vi khuẩn sẽ phát triển và dẫn đến các bệnh như sâu răng, viêm lợi, hoặc mòn răng.
- Ảnh hưởng sức khỏe do sai lệch khớp cắn: Răng thưa thường dẫn đến lệch khớp cắn, điều này ảnh hưởng lớn đến các khớp hàm và khớp thái dương khi bạn ăn uống. Kết quả là có thể gây ra đau đầu, đau khớp hàm và khiến cơ mặt lão hóa nhanh hơn.
- Ảnh hưởng đến khả năng phát âm: Răng thưa đôi khi có thể khiến bạn phát âm không rõ ràng.
Vì những lý do đó, các chuyên gia nha khoa thường khuyên những ai có hàm răng thưa, đặc biệt là răng cửa, nên tiến hành xử lý ngay để lấp đầy các khoảng trống. Việc này không chỉ giúp khôi phục vẻ đẹp cho hàm răng mà còn quan trọng cho sức khỏe tổng thể của bạn trong tương lai.
Xem thêm: Có nên bọc răng sứ không?
Bọc răng sứ cửa bị thưa có được không? Điều này có ảnh hưởng gì không?
Với sự phát triển của công nghệ nha khoa hiện đại, bạn hoàn toàn có thể khắc phục tình trạng răng thưa bằng phương pháp bọc răng sứ thẩm mỹ. Đặc biệt, răng sứ mang lại màu sắc tự nhiên, không gây cảm giác cấn hay cộm khi ăn nhai, giúp bạn cảm thấy thoải mái và tự tin. Vì vậy, việc đặt ra câu hỏi “Bọc răng sứ cửa bị thưa có được không?” là hoàn toàn có lý.
Quá trình bọc răng sứ bắt đầu bằng việc bác sĩ mài một phần của răng thật ở những chiếc răng cửa bị thưa cần phục hình, theo tỷ lệ đã được tính toán, để tạo thành trụ nâng đỡ cho mão sứ. Mão sứ sau đó sẽ được chế tác dựa trên mẫu dấu hàm đã thu thập sau khi mài răng, có màu sắc, hình dáng và kích thước tương đồng với răng thật.
Phương pháp bọc răng sứ chỉ ảnh hưởng đến bề mặt men răng mà không can thiệp vào mô nướu xung quanh. Chính vì vậy, nếu được thực hiện đúng quy trình và theo tiêu chuẩn bọc răng, bọc răng sứ cho răng cửa sẽ không có bất kỳ tác động tiêu cực nào đến sức khỏe răng miệng.
Tuy nhiên, phương pháp bọc răng sứ răng cửa cũng có thể phát sinh những biến chứng không mong muốn, ảnh hưởng đến sức khỏe như viêm nướu, chết tủy, cảm giác ê buốt và khó chịu. Nguy cơ này có thể cao hơn nếu bạn chọn thực hiện tại những cơ sở nha khoa không uy tín, với bác sĩ tay nghề hạn chế, hoặc nếu quy trình mài răng không được thực hiện chính xác. Thêm vào đó, việc không đảm bảo tiêu chuẩn vô trùng tại phòng khám cũng có thể làm tăng khả năng xảy ra những vấn đề trên.
Ai phù hợp để thực hiện bọc răng sứ cho các răng cửa bị thưa?
Phương pháp bọc sứ răng cửa thưa thích hợp cho phần lớn những ai đang gặp vấn đề về hở kẽ răng và nhiều khuyết điểm khác.
- Thích hợp cho đa số các trường hợp răng thưa, đặc biệt là tại các vị trí răng cửa, răng nanh và răng hàm.
- Phương pháp này rất phù hợp cho những ai muốn tìm kiếm giải pháp nhanh chóng và không muốn mất thời gian với việc niềng răng.
- Giải pháp bọc sứ răng cửa bị thưa thích hợp với những trường hợp đi kèm các khuyết điểm khác như răng lệch, khấp khểnh, răng bị ngả màu, hoặc tình trạng hô và móm.

Bọc sứ cho răng cửa bị thưa không thích hợp trong những tình huống sau:
- Người chưa đủ 18 tuổi không nên bọc răng sứ, vì trong giai đoạn này, xương hàm và răng vẫn đang phát triển, và việc này có thể làm ảnh hưởng đến quá trình phát triển tự nhiên của chúng.
- Trong trường hợp khoảng cách giữa các răng quá lớn, việc bọc răng sứ có thể cần đến mão sứ có kích thước lớn hơn bình thường, điều này có thể làm giảm tính thẩm mỹ của hàm răng.
Vì vậy, bọc răng sứ răng cửa thưa rất thích hợp cho phần lớn khách hàng. Để biết chính xác hiệu quả thẩm mỹ mà bọc sứ có thể đem lại cho tình trạng răng hở kẽ của mình, bệnh nhân nên đến gặp đội ngũ bác sĩ tại Nha Khoa AB để được tư vấn cụ thể.
Ưu điểm vượt trội khi bọc sứ răng cửa bị thưa
Bọc sứ cho răng cửa thưa là một phương pháp thẩm mỹ và chức năng hiệu quả, giúp cải thiện tình trạng răng cửa bị thưa. Dưới đây là một số ưu điểm vượt trội khi bọc sứ cho răng cửa thưa:
- Tính thẩm mỹ cao: Răng sứ được thiết kế để có màu sắc và hình dáng giống như răng tự nhiên, giúp bạn có nụ cười đều và tự nhiên hơn. Điều này làm tăng sự tự tin và vẻ ngoài thẩm mỹ của hàm răng.
- Khắc phục khoảng cách giữa các răng: Bọc sứ giúp làm đầy các khoảng cách giữa các răng thưa mà không cần can thiệp phẫu thuật, điều chỉnh răng một cách nhanh chóng và an toàn.
- Độ bền cao: Răng sứ có độ bền và chịu lực tốt, có thể sử dụng trong thời gian dài nếu được chăm sóc đúng cách. Chất liệu sứ chống ăn mòn và mài mòn tốt hơn so với răng tự nhiên.
- Không đổi màu theo thời gian: Răng sứ cao cấp ít bị ảnh hưởng bởi thức ăn và đồ uống có màu, nên không bị ố vàng hay đổi màu theo thời gian. Điều này giúp duy trì vẻ đẹp thẩm mỹ lâu dài.
- An toàn và bảo vệ răng gốc: Phương pháp bọc sứ không ảnh hưởng xấu đến cấu trúc của răng gốc, và nếu được thực hiện đúng kỹ thuật, có thể giúp bảo vệ răng gốc khỏi các tác động bên ngoài.
- Thời gian thực hiện nhanh chóng: So với các phương pháp chỉnh nha khác như niềng răng, bọc sứ thường chỉ mất một vài buổi điều trị, mang lại kết quả nhanh chóng.
- Cải thiện chức năng ăn nhai: Bọc sứ giúp khôi phục chức năng nhai tốt, đặc biệt khi các răng thưa gây khó khăn trong việc cắn và nhai thức ăn.

Loại răng sứ nào tốt nhất cho răng cửa thưa?
Bọc sứ răng cửa bị thưa là một lựa chọn phổ biến hiện nay, giúp khắc phục khuyết điểm, cải thiện tính thẩm mỹ và đem lại sự hài hòa cho nụ cười. Răng cửa là một trong những chiếc răng quan trọng nhất về mặt thẩm mỹ, vì nó là điểm nhấn đầu tiên khi cười và giao tiếp. Việc răng cửa bị thưa hay mất đi có thể làm suy giảm sự tự tin, ảnh hưởng lớn đến vẻ ngoài cũng như khả năng giao tiếp của khách hàng.
Trong số các loại mão sứ, mão sứ nguyên chất là lựa chọn hàng đầu vì khả năng duy trì tính thẩm mỹ cao và độ bền vượt trội. Mão sứ nguyên chất không chỉ tái tạo được màu sắc tự nhiên và hình dáng tinh tế mà còn đảm bảo độ bền lâu dài, giảm thiểu nguy cơ hỏng hóc hay xỉn màu sau thời gian sử dụng. Khi phục hình răng cửa bằng mão sứ nguyên chất, khách hàng sẽ cảm thấy thoải mái và tự nhiên, không phải lo lắng về các biến chứng hay sự thay đổi về hình dáng và màu sắc của răng.
Dù chi phí mão sứ cao hơn so với một số lựa chọn khác, nhưng lợi ích mà nó mang lại là hoàn toàn xứng đáng. Việc chọn mão sứ nguyên chất giúp bạn không chỉ tiết kiệm chi phí về lâu dài (khi không cần thay thế thường xuyên) mà còn tăng cường sự tự tin và yêu đời hơn trong cuộc sống hằng ngày. Hãy chọn giải pháp bọc sứ chất lượng cao để có một nụ cười hoàn mỹ, bền đẹp và đảm bảo sức khỏe răng miệng dài lâu.
Chế độ ăn uống sau khi bọc sứ cho răng cửa thưa
Chế độ ăn uống sau khi bọc sứ răng cửa thưa rất quan trọng để đảm bảo mão sứ được bảo vệ và duy trì độ bền đẹp. Dưới đây là một số lưu ý về chế độ ăn uống mà bạn nên tuân thủ:
Thực phẩm nên ăn:
- Thức ăn mềm: Sau khi bọc sứ, bạn nên ưu tiên các thực phẩm mềm như cháo, súp, yogurt, và các loại trái cây chín để tránh gây áp lực lên răng mới.
- Rau xanh và trái cây: Những loại rau xanh như cải bó xôi, bí ngòi, và trái cây như chuối, bơ sẽ cung cấp dinh dưỡng cần thiết mà không làm tổn thương đến mão sứ.
- Thực phẩm giàu protein: Các loại thực phẩm như cá, trứng, và thịt gà nạc rất tốt cho sức khỏe, giúp tăng cường hệ thống miễn dịch và hồi phục sức khỏe răng miệng.

Thực phẩm cần hạn chế:
- Đồ cứng và dính: Tránh các loại thực phẩm cứng như kẹo cứng, hạt hay xương, vì chúng có thể làm gãy mão sứ hoặc gây tổn thương cho răng thật. Cũng cần hạn chế các món ăn dính như kẹo dẻo để tránh làm bám vào răng.
- Đồ uống có gas và chứa axit: Hạn chế nước ngọt, nước trái cây có ga và đồ uống có chứa axit, vì chúng có thể gây hại cho men răng và làm giảm tuổi thọ của mão sứ.

Thói quen ăn uống:
- Nhai chậm rãi: Hãy ăn chậm và nhai từ từ để giúp răng thích nghi với mão sứ mới và tránh gây áp lực đột ngột.
- Uống đủ nước: Nước không chỉ giúp duy trì sức khỏe tổng thể mà còn hỗ trợ quá trình hồi phục và làm sạch khoang miệng.
Chăm sóc răng miệng:
- Đánh răng đúng cách: Tiếp tục đánh răng ít nhất hai lần mỗi ngày và sử dụng chỉ nha khoa để giữ cho vùng quanh răng cửa luôn sạch sẽ.
- Kiểm tra định kỳ: Đến gặp bác sĩ nha khoa thường xuyên để theo dõi tình trạng răng miệng và đảm bảo mão sứ vẫn ở trong tình trạng tốt.
Tuân thủ chế độ ăn uống hợp lý sẽ giúp bạn duy trì sức khỏe răng miệng và sự tự tin với nụ cười mới sau khi bọc sứ cho răng cửa thưa.
Địa chỉ bọc sứ răng cửa bị thưa tại Thế Giới Nha Khoa AB
Với nhiều năm kinh nghiệm trong lĩnh vực nha khoa, đặc biệt là bọc sứ cho răng cửa thưa, Thế Giới Nha Khoa AB tự hào sở hữu đội ngũ bác sĩ có tay nghề cao cùng trang thiết bị hiện đại hàng đầu. Chúng tôi đã giúp nhiều khách hàng lấy lại tự tin với nụ cười rạng rỡ, từ đó mở ra nhiều cơ hội tốt đẹp và hạnh phúc hơn trong cuộc sống.
Nếu bạn có bất kỳ thắc mắc nào liên quan đến việc bọc sứ cho răng cửa thưa, hãy liên hệ trực tiếp với Thế Giới Nha Khoa AB. Các bác sĩ sẽ thăm khám và tư vấn cho bạn phương pháp điều chỉnh răng thưa hiệu quả, cũng như giúp bạn chọn loại răng sứ phù hợp với khuôn mặt.

Hãy liên hệ với Thế Giới Nha Khoa AB qua hotline 028 6274 6666 ngay hôm nay để được tư vấn miễn phí về bọc răng cửa thưa và các hạng mục khám răng khác!
Bọc sứ răng cửa bị thưa có được không? – Câu trả lời là hoàn toàn được. Bọc răng sứ không chỉ giúp cải thiện thẩm mỹ mà còn bảo vệ răng thật và tăng cường chức năng nhai. Tuy nhiên, việc bọc răng sứ cũng cần được thực hiện bởi bác sĩ có kinh nghiệm và yêu cầu chăm sóc răng miệng kỹ lưỡng để đạt hiệu quả tốt nhất. Nếu bạn đang có ý định bọc răng sứ, hãy tham khảo ý kiến bác sĩ để có quyết định phù hợp.
Xem thêm: Top 10 nha khoa uy tín TPHCM


