Niềng răng là phương pháp chỉnh nha sử dụng các loại khí cụ chính nha chuyên dụng để tác động lực lên răng, giúp răng dịch chuyển dần về đúng vị trí trên cung hàm. Niềng răng giúp khắc phục các tình trạng răng mọc lệch, hô, móm, thưa, khấp khểnh, mang lại cho khách hàng một hàm răng đều đẹp, khớp cắn chuẩn, cải thiện chức năng ăn nhai và thẩm mỹ. Qua bài viết này, hãy cùng Thế Giới nha khoa AB khám phá chi tiết về các loại khí cụ niềng răng và cách chúng giúp tạo nên nụ cười hoàn hảo.
Khí cụ chỉnh nha là gì?
Khí cụ chỉnh nha hoặc khí cụ niềng răng là các công cụ nha khoa được sử dụng để hỗ trợ quá trình điều chỉnh vị trí của các răng trên cung hàm, giúp tạo ra hàm răng đều đẹp và khớp cắn chuẩn hơn. Cho dù bạn đang sử dụng niềng răng mắc cài hay niềng răng trong suốt, việc sử dụng khí cụ chuyên dụng là không thể thiếu để có được một hệ thống chỉnh nha hoàn chỉnh.
Trong lĩnh vực nha khoa, có đủ các loại khí cụ chỉnh nha phù hợp với mỗi tình trạng cụ thể, tùy thuộc vào tình trạng cụ thể, nhu cầu và mức độ sai lệch của răng và xương hàm. Bác sĩ thường kết hợp nhiều loại dụng cụ cùng một lúc để đảm bảo hiệu quả tối đa. Các khí cụ cố định thường được sử dụng để giữ vững độ chắc chắn, duy trì lực kéo ổn định trong quá trình niềng răng. Ngược lại, những khí cụ có khả năng tháo lắp linh hoạt thường được ưa chuộng, giúp bệnh nhân thoải mái hơn trong các hoạt động như ăn uống và sinh hoạt hàng ngày.

Công dụng của khí cụ chỉnh nha
Khi thực hiện quá trình niềng răng, nha sĩ sử dụng các khí cụ niềng răng để điều chỉnh vị trí của những chiếc răng mọc sai lệch, giúp chúng đặt về đúng vị trí trên cung hàm. Quá trình này không chỉ tạo ra kết quả thẩm mỹ cao, mà còn giúp ngăn ngừa các vấn đề về sức khỏe răng miệng phát sinh do răng mọc không đúng vị trí.
Một vài công dụng tuyệt vời mà khí cụ chỉnh nha mang lại cho bạn:
- Hiệu quả của việc sửa lệch khớp cắn răng, khắc phục những vấn đề như hô móm, thưa, hoặc khấp khểnh, không chỉ giúp răng trở nên đều đẹp mà còn đảm bảo khớp cắn đạt chuẩn.
- Giúp cải thiện việc ăn nhai hiệu quả hơn và duy trì vệ sinh răng miệng dễ dàng có thể ngăn chặn sự xuất hiện của các vấn đề sức khỏe liên quan đến răng miệng.
- Không chỉ giúp nắn chỉnh răng mọc lệch lạc, khí cụ chỉnh nha còn có thể giữ một khoảng trống sau khi răng sữa rụng đi. Khoảng trống này sẽ giúp răng vĩnh viễn mọc lên đúng vị trí, không bị chen chúc. Khí cụ chỉnh nha thường được sử dụng cho trẻ em, vì giai đoạn này xương hàm còn mềm, dễ dàng di chuyển. Vì vậy, nếu can thiệp sớm, đúng cách, trẻ sẽ có được hàm răng đều đẹp ngay từ nhỏ.
Xem thêm: Niềng răng có đau không?
Các loại khí cụ chỉnh nha được ưa chuộng nhất
Khí cụ chỉnh nha cố định
Thun tách kẽ
Thun tách kẽ là loại sợi thun tròn, độ cứng vừa phải, chế tạo từ cao su, được sử dụng để tạo ra khoảng cách giữa các đôi răng, hỗ trợ quá trình niềng răng bằng cách làm cho việc gắn các khâu vào răng hàm trở nên thuận tiện hơn. Việc đính kèm thun tách kẽ thường là bước đầu tiên quan trọng khi thực hiện quá trình niềng răng, và hầu hết mọi người đều phải trải qua quá trình này. Thời gian sử dụng thun tách kẽ thường kéo dài từ 5 đến 7 ngày, phụ thuộc vào tình trạng cụ thể của răng miệng từng người.
Band (Khâu chỉnh nha)
Band hay còn gọi là khâu chỉnh nha được ứng dụng rộng rãi trong quá trình điều chỉnh răng. Band được chế tạo từ kim loại, có thể có hình dạng tròn hoặc hơi vuông, được tạo ra để phù hợp với cấu trúc răng hàm của người sử dụng và trang bị móc để kết nối với thun cũng như ống nhỏ để luồn dây.
Khâu chỉnh nha thường được gắn vào răng hàm số 6 hoặc số 7, đóng vai trò là điểm tựa vững chắc cho hệ thống niềng răng. Dây cung được gắn vào khâu chỉnh nha, giúp duy trì lực kéo, giúp răng di chuyển về đúng vị trí.
Dây cung
Dây cung là một trong những khí cụ quan trọng trong niềng răng cố định, có tác dụng tạo lực kéo, giúp răng di chuyển theo đúng vị trí. Dây cung có nhiều loại khác nhau, được làm từ chất liệu chủ yếu là sắt không gỉ, như Niken – Titanium. Tùy theo từng giai đoạn niềng răng mà dây cung được sử dụng sẽ có hình dạng và kích thước khác nhau. Dây cung được gắn vào các khe của mắc cài và cố định bằng dây thun hoặc dây thép.
Hệ thống mắc cài
Mắc cài là một loại khí cụ chỉnh nha được gắn trực tiếp lên bề mặt răng, có tác dụng tạo lực kéo giúp răng di chuyển về đúng vị trí.
Mắc cài được làm từ nhiều chất liệu khác nhau, trong đó phổ biến nhất là kim loại, sứ và pha lê, tùy thuộc vào nhu cầu và sở thích của người sử dụng. Mắc cài sứ và pha lê có ưu điểm là thẩm mỹ cao hơn, do màu sắc tương đồng với răng thật.
Mắc cài được chia thành hai loại phổ biến là mắc cài thường và mắc cài tự buộc:
- Mắc cài thường: Mắc cài thường sử dụng dây thun để cố định dây cung. Dây thun cần được thay định kỳ để đảm bảo lực kéo ổn định, giúp răng di chuyển về đúng vị trí. Tuy nhiên, dây thun có độ đàn hồi giảm dần theo thời gian, dẫn đến lực kéo không còn ổn định, khiến quá trình niềng răng bị ảnh hưởng.
- Mắc cài tự buộc: Đây là một bước đột phá trong ngành chỉnh nha. Thay thế cho dây thun, mắc cài tự buộc sử dụng hệ thống nắp trượt tự động để cố định dây cung. Nắp trượt tự động có khả năng giữ dây cung chắc chắn, không bị bung sút, giúp lực tác động lên răng luôn ổn định. Nhờ đó, răng di chuyển nhanh chóng và chính xác hơn, giúp rút ngắn thời gian niềng răng.
Hook
Hook là một bộ phận nhỏ, có dạng móc, được gắn trên mắc cài. Hook được sử dụng để gắn dây chung liên hàm, giúp kéo hai hàm răng lại gần nhau. Hook thường được gắn ở các răng nanh, răng cối nhỏ hoặc trên khâu (band) hay mắc cài răng cối lớn.
Minivis
Minivis là một trụ titanium nhỏ được cấy vào xương hàm. Nó tạo điểm tựa vững chắc cho lực kéo, giúp răng di chuyển về đúng vị trí. Minivis đặc biệt hữu ích trong các trường hợp răng lệch lạc nặng, như răng vểnh hoặc chìa ra ngoài. Minivis có kích thước nhỏ, với đường kính trung bình từ 1,4 đến 2 mm và chiều dài trung bình từ 6 đến 12 mm. Số lượng và vị trí cắm minivis sẽ tùy thuộc vào tình trạng cụ thể của mỗi người.
Lò xo
Lò xo là một khí cụ chỉnh nha hiện đại, được sử dụng để tạo lực kéo, giúp răng di chuyển về đúng vị trí. Lò xo có hình dạng như một chiếc lò xo với nhiều vòng tròn nối tiếp nhau. Lò xo thường được làm từ thép không gỉ, có độ bền cao và an toàn cho cơ thể.
Trong lĩnh vực chỉnh nha, lò xo được phân loại thành 3 loại chính dựa trên tác dụng của chúng:
- Lò xo đẩy: tạo khoảng trống bổ sung giữa các răng.
- Lò xo kéo: thu hẹp khoảng trống do răng thưa hoặc rơi răng.
- Lò xo duy trì: duy trì khoảng trống giữa các răng trên cung hàm.
Lò xo được gắn vào răng hàm và kết nối với dây cung phía sau răng số 3. Để không gây trở ngại cho các hoạt động của răng hàm, tất cả các loại lò xo chỉnh nha đều phải có độ đàn hồi tốt.
Thun chuỗi
Thun chuỗi là một loại khí cụ chỉnh nha được sử dụng để tạo lực kéo, giúp răng di chuyển về đúng vị trí. Thun chuỗi thường được làm từ chất liệu cao su hoặc nhựa, có độ đàn hồi và độ co giãn tốt. Thun chuỗi có hình dạng như một chuỗi các vòng liên kết với nhau, có thể được gắn vào các mắc cài hoặc các khí cụ chỉnh nha khác.
Hàm duy trì
Hàm duy trì là một khí cụ chỉnh nha quan trọng, cần thiết sau khi niềng răng. Hàm duy trì được sử dụng để giữ cho răng ổn định ở vị trí mới, ngăn ngừa răng di chuyển trở lại vị trí ban đầu. Hàm duy trì có thể được làm từ nhiều vật liệu khác nhau, phổ biến nhất là nhựa và kim loại. Hàm duy trì được thiết kế riêng cho từng người, đảm bảo vừa khít với khuôn hàm.

Thiết bị nong hàm
Thiết bị nong hàm là một khí cụ phổ biến trong quá trình điều trị chỉnh nha, được sử dụng để mở rộng diện tích của vòm miệng và hỗ trợ tạo khoảng trống, giúp răng mọc lệch di chuyển dễ dàng. Bác sĩ nha khoa thường áp dụng nong hàm khi vòm hàm quá hẹp, hàm bị lệch, méo, hoặc khi không đủ chỗ để sắp xếp răng. Quá trình đặt nong hàm thường diễn ra trước khi gắn các khí cụ như mắc cài, dây cung lên răng. Thời gian sử dụng nong hàm kéo dài từ 1 đến 6 tháng, tùy thuộc vào tình trạng của từng người.
Sáp nha khoa
Trong quá trình niềng răng có mắc cài, các khí cụ chỉnh nha bằng kim loại có thể cọ xát vào nướu và má, gây đau nhức, chảy máu. Để hạn chế tình trạng này, người niềng răng nên sử dụng sáp nha khoa bôi vào bề mặt khí cụ hoặc kẽ răng. Sáp nha khoa sẽ tạo thành một lớp đệm bảo vệ, giúp giảm ma sát và ngăn ngừa tổn thương.
Khí cụ chỉnh nha tháo lắp
Khay niềng trong suốt
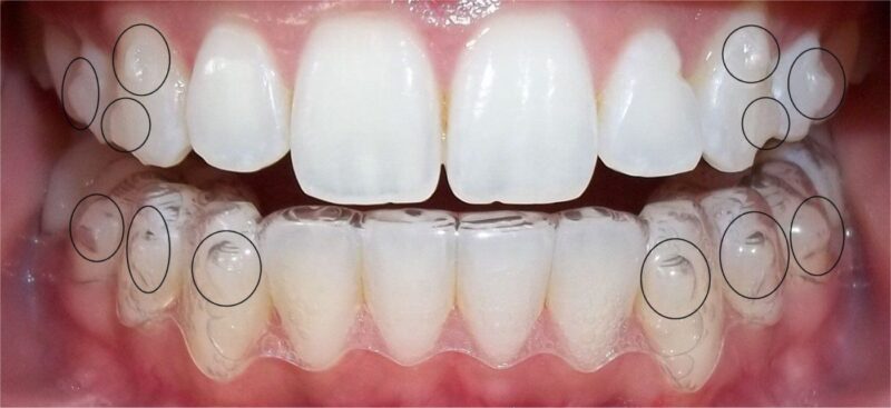
Khay niềng là khí cụ chính trong niềng răng không mắc cài, được thiết kế bằng nhựa trong suốt, lành tính, an toàn, không gây kích ứng trong khoang miệng. Khay niềng có tính đàn hồi, tác động lực lên răng để di chuyển răng từ từ đến vị trí đều đặn trên cung hàm. Khay niềng được thiết kế theo hình dáng, cấu trúc hàm răng của từng người, không cần sử dụng mắc cài, dây cung, khí cụ khác nên không gây bung tuột mắc cài, dây cung chọc má, tổn thương môi má, mô mềm.
Attachment
Attachment là một khí cụ chỉnh nha được làm từ nhựa Composite, có nhiều hình dáng và màu sắc khác nhau, tương tự răng thật, đảm bảo tính thẩm mỹ. Attachment được gắn lên răng bằng keo nha khoa chuyên dụng.
Attachment có tác dụng hỗ trợ tạo lực cho khay niềng trong suốt, đóng khoảng vị trí nhổ răng và giúp răng dịch chuyển về đúng vị trí theo phác đồ của bác sĩ. Việc sử dụng Attachment hay không tùy thuộc vào từng trường hợp cụ thể. Đối tượng cần thiết sử dụng Attachment thường là những trường hợp răng lệch ra ngoài, răng xoay vào trong,…

Xem thêm: Niềng răng móm có hiệu quả không?
Giá các loại khí cụ chỉnh nha bao nhiêu?
Chi phí chỉnh nha là một vấn đề mà nhiều người quan tâm. Có nhiều yếu tố ảnh hưởng đến chi phí này, bao gồm:
Các loại khí cụ chỉnh nha mà bạn chọn
Đối với trường hợp khay niềng trong suốt, bác sĩ chỉnh nha sẽ phải tạo ra một bộ khay niềng được tùy chỉnh riêng cho từng người. Điều này là do mỗi người có khung răng khác nhau, và khay niềng cần phải vừa khít với răng để mang lại hiệu quả chỉnh nha tốt nhất.
Các dây cung và mắc cài cũng được thiết kế với nhiều kích cỡ khác nhau để phù hợp với từng tình trạng răng miệng cụ thể.
Tóm lại mức độ tùy chỉnh của khí cụ chỉnh nha càng cao thì chi phí điều trị sẽ càng tăng. Điều này là do việc tùy chỉnh khí cụ chỉnh nha đòi hỏi nhiều thời gian và công sức của bác sĩ chỉnh nha.
Tình trạng răng
Mức độ nặng nhẹ của răng miệng sẽ quyết định đến phương pháp niềng răng và loại khí cụ niềng răng phù hợp. Các thủ thuật hỗ trợ như nong hàm, cắm vít, nhổ răng cũng có thể được chỉ định trong quá trình niềng răng, tùy theo tình trạng cụ thể của từng trường hợp. Do đó, chi phí niềng răng cũng có thể chênh lệch đáng kể.
Nha khoa điều trị
Nha khoa uy tín, chất lượng cao thường đầu tư vào trang thiết bị hiện đại, vật liệu chính hãng và đội ngũ bác sĩ giỏi chuyên môn. Điều này dẫn đến sự khác biệt về giá cả giữa các nha khoa, tùy thuộc vào loại khí cụ và phương pháp niềng răng được sử dụng. Ngoài ra, chi phí điều trị chỉnh nha còn phụ thuộc vào bác sĩ điều trị, phương pháp điều trị và các dịch vụ đi kèm. Tuy nhiên, điều quan trọng nhất là bạn vẫn nên lựa chọn nha khoa uy tín để đảm bảo an toàn và hiệu quả trong quá trình điều trị.
Xem thêm: Trồng răng Implant giá bao nhiêu là chất lượng?


