Cắm vít niềng răng là một phương pháp hỗ trợ quan trọng trong việc niềng răng, giúp tăng cường hiệu quả và tối ưu hóa quá trình điều chỉnh răng miệng. Tuy nhiên, nhiều người vẫn thắc mắc mắc cắm vít niềng răng là gì và tại sao cần thực hiện cắm vít niềng răng? Xin mời bạn đọc ngay bài viết dưới đây để tìm câu trả lời!
Cắm vít niềng răng là gì?
Cắm vít niềng răng hay còn gọi là minivis, là một tiến bộ mới trong lĩnh vực nha khoa hiện đại ngày nay. Đôi khi, nhiều người dễ lẫn lộn giữa vít niềng răng với cấy ghép Implant trong quá trình trồng răng giả. Dưới đây là những đặc điểm cơ bản của minivis trong điều trị chỉnh nha.
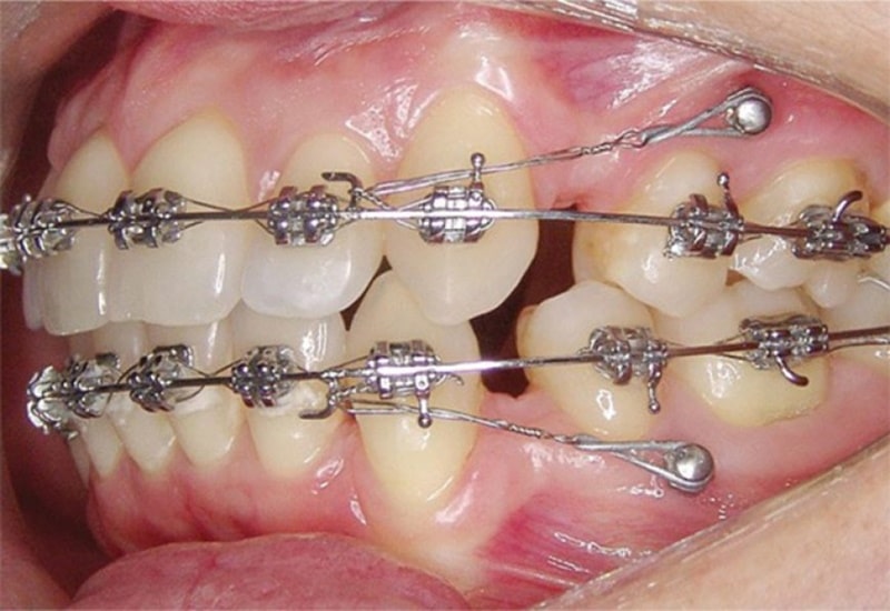
Vít niềng răng được biết đến với tên gọi khác là Minivis là các vít nhỏ được sử dụng trong quá trình niềng răng để tạo ra các điểm neo cố định, giúp di chuyển răng về vị trí mong muốn. Chúng được làm từ vật liệu titanium và có hình dạng xoắn ốc.
Titanium là một loại vật liệu có thể được sử dụng để đảm bảo tính an toàn của xương hàm. Tương tự như trụ Implant, Minivis cũng có khả năng phục vụ mục đích này, tuy nhiên chúng có kích thước nhỏ hơn đáng kể so với Implant. Mỗi vít niềng Minivis thường có chiều dài khoảng từ 6 – 12mm và đường kính trung bình chỉ từ 1,4 – 2mm.
Tại sao lại cần cắm vít niềng răng?
Trong những trường hợp răng bị vênh, hô hoặc chìa ra ngoài quá nhiều, việc sử dụng minivis để tạo ra các chốt cố định nhằm tăng cường lực kéo trong quá trình nắn chỉnh răng trở nên cực kỳ quan trọng.
Trong một số trường hợp khi mất răng, đặc biệt là răng số 6 đóng vai trò quan trọng như một điểm cố định trong quá trình niềng răng, việc sử dụng minivis để hỗ trợ sẽ giúp tăng cường hiệu quả và tốc độ của quá trình niềng răng.
Hoặc trong trường hợp bạn được bác sĩ khuyên rút răng số 4 để tạo ra không gian cho răng di chuyển đến vị trí mong muốn. Tuy nhiên, do xương hàm của bạn quá cứng, răng sẽ di chuyển chậm hơn, vì vậy việc sử dụng vít niềng răng để duy trì khoảng trống của răng bị rút là cần thiết. Điều này giúp tăng khả năng bồi đắp khoảng trống trên cung hàm khi niềng, làm cho quá trình chỉnh nha diễn ra nhanh chóng hơn và giảm thiểu thời gian cần cho việc niềng răng.
Lợi ích của cắm vít niềng răng
Vậy việc cắm vít niềng răng có lợi ích gì? Dưới đây là một số lợi ích tối ưu mà minivis mang lại cho quá trình chỉnh nha:
- Tạo ra lực kéo cần thiết để dịch chuyển răng một cách hiệu quả, đồng thời đảm bảo rằng quá trình này được thực hiện đúng theo kế hoạch của bác sĩ.
- Cắm vít như giống như một điểm neo vững chắc để dịch chuyển răng về vị trí chính xác trên cung hàm và đồng thời hỗ trợ việc điều chỉnh khớp cắn một cách chuẩn xác hơn.
- Giảm thiểu mức độ xảy ra của các biến chứng có thể xảy ra.
- Giảm thời gian điều trị xuống còn từ 3 đến 9 tháng.
- Điều chỉnh sự khít trong khoảng trống sau khi răng đã được nhổ (khi bác sĩ quyết định rút răng số 4 để tạo đủ không gian cho răng di chuyển trên cung hàm trong quá trình chỉnh nha).
- Được chế tạo từ Titanium, một vật liệu an toàn cho sức khỏe, không gây kích ứng hoặc tổn thương cho niêm mạc hoặc các răng lân cận.
Đối tượng nào cần cắm vít niềng răng?
Cắm vít niềng răng không chỉ cải thiện hiệu quả điều trị chỉnh nha như kỳ vọng mà còn rút ngắn thời gian điều trị. Đây là một phương tiện không thể thiếu đối với những trường hợp niềng răng phức tạp. Tuy nhiên, không phải mọi trường hợp chỉnh nha đều đòi hỏi việc sử dụng vít niềng răng. Sự quyết định này phụ thuộc vào tình trạng cụ thể của từng bệnh nhân và đánh giá của bác sĩ. Cụ thể, vít niềng răng thường được áp dụng trong các tình huống sau đây:
Răng bị hô, vẩu
Trong trường hợp răng bị hô vẩu, phương pháp niềng răng mắc cài kim loại có thể giải quyết vấn đề này. Quá trình niềng răng này không chỉ giúp bạn có được một nụ cười tự tin và rạng rỡ, mà còn sử dụng hệ thống mắc cài và dây cung để di chuyển răng. Tuy nhiên, ở những trường hợp phức tạp như răng mọc quá lệch hoặc quá vênh so với cung hàm, việc cắm vít là cần thiết để tạo ra một điểm cố định và áp lực khi điều chỉnh vị trí của răng.
Răng lệch so với hàm
Trong tình huống răng không đều, gây lệch khớp cắn, việc sử dụng đặt vít khi niềng là cần thiết. Tương tự, việc sử dụng minivis để tạo điểm neo cố định sẽ giúp răng được kéo đến vị trí thẳng hàng, điều chỉnh tương đối tỷ lệ lệch lạc của cung hàm.
Răng cười hở lợi
Răng cười hở lợi làm cho người mắc phải cảm thấy thiếu tự tin khi giao tiếp và cười. Để giải quyết tình trạng này, việc cài đặt vít niềng răng được khuyến khích để tạo ra lực lún cho răng, điều chỉnh hàm để đạt được sự khớp cắn chính xác và làm cho răng trở nên đều đẹp và cân đối hơn.
Răng bị mất
Nếu bạn mất răng, đặc biệt là răng số 6, quá trình chỉnh nha có thể gặp nhiều khó khăn. Tuy nhiên, việc sử dụng vít niềng răng có thể hỗ trợ quá trình này để đạt được kết quả như mong muốn. Vị trí cụ thể của vít niềng răng sẽ phụ thuộc vào vị trí của răng mất và kinh nghiệm chuyên môn của bác sĩ nha khoa.
Trường hợp niềng răng phức tạp
Trong trường hợp răng bị hô, móm, hoặc bị lệch ra ngoài quá nhiều, việc sử dụng minivis là điều không thể thiếu. Thông thường, các thiết bị chỉnh nha có chức năng chính là giúp răng điều chỉnh di chuyển. Tuy nhiên, chúng thường mất thời gian và gặp khó khăn khi cần điều chỉnh vị trí của răng như minivis. Minivis đảm nhận vai trò cố định và hỗ trợ tăng lực kéo để đưa răng về vị trí đúng một cách nhanh chóng và hiệu quả hơn.
Trường hợp phải nhổ răng 4,5
Việc nhổ răng số 4 và 5 là một phần không thể thiếu trong quá trình niềng răng để tạo ra khoảng trống cần thiết và đẩy răng về vị trí đúng. Để răng di chuyển một cách hiệu quả, việc sử dụng các khí cụ là điều không thể thiếu. Tuy nhiên, trong những trường hợp mà răng số 4 và 5 cần phải được nhổ và xương hàm lại quá cứng, điều này có thể làm chậm quá trình di chuyển của răng. Để khắc phục vấn đề này, việc cắm vít vào các khoảng trống sau khi nhổ răng là cần thiết. Việc cắm vít niềng răng giúp tăng khả năng bồi lấp khoảng trống trên cung hàm một cách nhanh chóng hơn, từ đó rút ngắn thời gian cần thiết cho quá trình chỉnh nha.
Răng bị xoay nặng
Khi răng bị xoay nặng, cần áp dụng một lực mạnh để điều chỉnh chúng về vị trí đúng. Để làm điều này, không chỉ sử dụng mắc cài và dây cung, mà còn cần phải sử dụng vít niềng răng để đảm bảo kết quả chỉnh nha được như mong muốn.
Xương hàm cứng
Xương hàm quá cứng có thể làm cho việc di chuyển và sắp xếp răng trở nên khó khăn hơn. Do đó, việc sử dụng vít niềng răng được xem là một giải pháp thích hợp để giải quyết vấn đề này. Bằng cách điều chỉnh và kết hợp các khoảng trống trên cung hàm, vít niềng răng không chỉ giúp khít lại các khoảng trống mà còn hỗ trợ quá trình niềng răng diễn ra một cách nhanh chóng và hiệu quả.
Niềng răng trẻ em ở độ tuổi nào thích hợp?
Quy trình cắm vít niềng răng
Việc cắm vít niềng răng thông thường được thực hiện trong giai đoạn giữa hoặc sau 2-3 tháng đầu của quá trình niềng răng. Quá trình này thường kéo dài từ 5 đến 10 phút và bao gồm các bước sau:
- Bước 1: Bác sĩ yêu cầu bệnh nhân thực hiện X-quang để nắm rõ hơn về cấu trúc xương hàm, sau đó đề xuất một phương án và chọn lựa thiết bị neo tạm thời phù hợp.
- Bước 2: Bác sĩ tiêm thuốc tê vào vị trí cắm minivis.
- Bước 3: Bằng dụng cụ chuyên dụng, bác sĩ sẽ tiến hành cấy ghép vít vào xương hàm. Vít này đóng vai trò như neo chặn, giúp cố định và điều chỉnh răng về vị trí mong muốn một cách chính xác.
Cắm vít niềng răng có đau không?
Việc bắt vít niềng răng có sự tương đồng với việc thực hiện thao tác cấy trụ Implant, nhưng đơn giản hơn đáng kể. Điều này xuất phát từ việc minivis có kích thước nhỏ gọn, giúp dễ dàng thẩm nhập vào xương hàm. Thời gian thực hiện việc cắm một minivis cũng rất nhanh chóng, chỉ mất khoảng 10 phút để hoàn thành.
Nhiều người quan tâm liệu quá trình cắm vít niềng răng có đau không? Trước khi cắm vít để chỉnh răng, bác sĩ thường sẽ áp dụng bôi tê và tiêm thuốc giảm đau. Do đó, trong quá trình điều trị, bạn sẽ không cảm nhận đau hay khó chịu. Sau khi hoàn tất quá trình, khi thuốc giảm đau không còn tác dụng, ban đầu có thể bạn sẽ cảm thấy một chút ê nhẹ, nhưng không cần phải sử dụng thuốc giảm đau. Mặc dù có thể bạn sẽ trải qua cảm giác không thoải mái vào ngày đầu tiên, nhưng bạn sẽ nhận ra rằng trải qua quá trình này không đáng sợ như bạn từng nghĩ.
Khi Minivis được gắn vào xương hàm, không gây ảnh hưởng đến niêm mạc, nướu, hay lợi ở xung quanh. Sau khi vít được đặt, có thể bạn sẽ cảm thấy một cảm giác ê nhẹ và sưng má. Tuy nhiên, điều này thường chỉ kéo dài trong vài ngày và sẽ chấm dứt nhanh chóng. Khi đã quen với minivis, bạn sẽ không cảm thấy đau đớn và hoàn toàn bình thường.
Thời gian cắm vít niềng răng bao lâu?
Sử dụng minivis trong quá trình niềng răng giúp tối ưu hóa thời gian điều trị cho khách hàng. Trong điều trị niềng răng thông thường, mất từ 18 đến 36 tháng để hoàn tất quá trình. Tuy nhiên, với việc áp dụng vít cắm, thời gian này có thể được rút ngắn xuống chỉ từ 1 đến 2 năm. Sau khi gắn mắc cài khoảng thời gian 3-6 tháng, bước tiếp theo là đặt minivis. Vì thế, thời gian cần thiết để cắm vít niềng là bao lâu?
Quy trình thực hiện cắm minivis niềng răng diễn ra vỏn vẹn trong khoảng 5 – 10 phút và không gây đau đớn gì cho người bệnh. Đây là một kỹ thuật niềng răng tiên tiến với nhiều ưu điểm, giúp rút ngắn thời gian niềng răng và mang lại nụ cười đẹp cho bạn.
Thời gian bắt vít niềng răng có thể biến đổi tùy thuộc vào từng trường hợp cụ thể của cá nhân. Các bác sĩ sẽ dựa vào tình trạng răng miệng của bạn để quyết định thời gian cắm vít phù hợp. Số lượng vít niềng răng cần sử dụng cũng phụ thuộc vào mức độ phức tạp của ca niềng răng. Với những ca niềng răng đơn giản, thời gian cắm vít có thể chỉ cần 12 tháng. Tuy nhiên, với những ca niềng răng phức tạp, thời gian cắm vít có thể kéo dài đến 24 tháng. Số lượng vít niềng răng cần sử dụng có thể dao động từ 1 đến 4 vít. Mức độ răng lệch lạc ảnh hưởng trực tiếp đến thời gian cắm minivis. Răng lệch lạc ít sẽ giúp rút ngắn thời gian điều trị đáng kể. Do đó, bạn nên lựa chọn nha khoa uy tín để được bác sĩ có chuyên môn cao thăm khám và điều trị. Tuân thủ theo hướng dẫn của bác sĩ là yếu tố quan trọng để đảm bảo hiệu quả điều trị.
Cắm vít niềng răng giá bao nhiêu?
Số lượng minivis cần sử dụng cho mỗi người sẽ khác nhau tùy thuộc vào tình trạng răng miệng và phác đồ điều trị. Bác sĩ nha khoa sẽ tiến hành thăm khám và xây dựng kế hoạch điều trị phù hợp cho từng bệnh nhân. Dự trù chi phí cho quá trình niềng răng, bao gồm chi phí cho minivis, sẽ được thực hiện bởi bác sĩ trong quá trình lên kế hoạch. Với những ca niềng răng đơn giản, chỉ cần sử dụng 1-2 minivis. Tuy nhiên, với những ca niềng răng phức tạp, có thể cần sử dụng đến 4-6 minivis.
Thông thường, chi phí minivis chỉnh nha sẽ không nằm trong gói niềng răng thông thường vì không phải trường hợp nào cũng cần sử dụng. Chi phí để cắm minivis niềng răng thường dao động từ 2 đến 5 triệu đồng mỗi vít, tùy thuộc vào nha khoa thực hiện.Tuy nhiên, việc lựa chọn nha khoa uy tín và bác sĩ tay nghề cao là vô cùng quan trọng khi thực hiện niềng răng bằng minivis. Do đó, bạn nên tham khảo bảng giá và các dịch vụ đi kèm để lựa chọn nha khoa phù hợp với nhu cầu của mình. Nên trao đổi kỹ lưỡng với bác sĩ trước khi quyết định thực hiện niềng răng bằng minivis.
Niềng răng hô mất bao lâu? Các phương pháp niềng răng hô
Lưu ý sau khi cắm vít niềng răng
Sau khi cắm vít niềng răng, răng miệng bạn sẽ nhạy cảm hơn bình thường. Đây là lúc bạn nên chăm sóc răng miệng cẩn thận để tránh đau nhức và khó chịu. Chăm sóc răng miệng tốt cũng giúp đẩy nhanh quá trình chỉnh nha và tránh biến chứng. Dưới đây là một số lưu ý sau khi cắm minivis:
- Chườm đá: Là cách hỗ trợ giảm đau và giảm sưng một cách nhanh nhất. Đây là phương pháp đơn giản, an toàn và dễ thực hiện tại nhà. Nếu bạn cảm thấy khó chịu vì đau, hãy thử áp dụng chườm đá lạnh để giảm bớt sự không thoải mái và không làm ảnh hưởng đến các hoạt động hàng ngày của bạn. Chườm đá liên tục sẽ giúp kiểm soát tốt các triệu chứng đau nhức và cải thiện chất lượng cuộc sống của bạn.
- Tuân theo hướng dẫn của bác sĩ: Sau khi cắm vít niềng răng, bác sĩ sẽ kê đơn thuốc giảm đau và chống viêm phù hợp với tình trạng cụ thể của mỗi bệnh nhân, nhằm đảm bảo vết thương hồi phục nhanh chóng và hỗ trợ quá trình niềng răng diễn ra một cách hiệu quả nhất. Lúc này, bạn cần tuân thủ đúng liều lượng và hướng dẫn sử dụng thuốc từ bác sĩ, không tự ý dùng thuốc theo ý mình.
- Chế độ ăn uống cân đối và lành mạnh: Việc ăn uống đúng cách cũng có tác động đáng kể đến quá trình niềng răng chỉnh nha. Nên ưu tiên thực phẩm mềm, dễ tiêu hóa như cháo, súp, sữa, yến mạch, trái cây mềm… đồng thời hạn chế thức ăn quá cứng, quá nóng, quá lạnh, quá chua. Việc tuân thủ chế độ ăn uống hợp lý sẽ giúp giảm thiểu nguy cơ biến chứng, đẩy nhanh quá trình phục hồi và mang lại hiệu quả niềng răng tối ưu.
Chăm sóc răng miệng sau khi thực hiện cắm vít niềng răng
Sau khi cắm vít niềng răng, việc giữ nướu xung quanh sạch sẽ và tránh tác động trực tiếp là rất quan trọng để bảo vệ tuổi thọ của vít. Việc giữ nướu sạch sẽ giúp ngăn ngừa hình thành mảng bám, giảm nguy cơ viêm nướu, nhiễm trùng và các biến chứng khác. Mảng bám và thức ăn thừa có thể khiến nướu bị viêm, nhiễm trùng và làm hỏng vít niềng.
Không nên sử dụng bàn chải điện hoặc bàn chải đánh răng bản to. Thay vào đó, người bệnh nên chọn bàn chải tay có đầu nhỏ và sử dụng kết hợp cùng kem đánh răng chứa flour để chải nhẹ quanh vị trí của vít niềng răng.
Trong 5 ngày đầu sau khi cắm vít niềng, cần thường xuyên sử dụng nước muối sinh lý hoặc dung dịch vệ sinh khoang miệng để loại bỏ vi khuẩn gây hại.
Trong 24 giờ đầu sau khi cắm vít niềng răng, tránh sử dụng các chất kích thích như thuốc lá, bia, rượu. Các loại thực phẩm mềm như cháo, bún, phở không đòi hỏi việc nhai quá nhiều, giúp giảm áp lực lên vị trí cắm vít. Hạn chế thức ăn cứng, quá chua, quá cay hoặc mặn trong 1 – 2 ngày đầu sau khi cắm vít.
Để đảm bảo quá trình lành thương và hiệu quả chỉnh nha tốt nhất, cần hạn chế việc nghịch hoặc tác động mạnh vào vít bằng tay hoặc lưỡi. Trong những ngày đầu sau khi bắt vít niềng răng, có thể áp dụng chườm lạnh hoặc sử dụng thuốc giảm đau để giảm đau và khó chịu.
Đa số các vít niềng răng trong quá trình điều trị đều giữ ổn định tốt, ít gây kích ứng và không tạo ra cảm giác khó chịu cho người bệnh. Tuy nhiên, trong một số trường hợp, vít niềng răng có thể trở nên lỏng và cần phải được loại bỏ hoặc thay thế. Việc đặt một lượng nhỏ sáp chỉnh nha lên đầu vít có thể giúp giảm bớt cảm giác khó chịu trong giai đoạn ban đầu. Nếu bạn phát hiện bất kỳ dấu hiệu không bình thường nào như chảy máu liên tục, sưng, đau hoặc cảm giác không thoải mái tại vị trí cắm vít, hãy liên hệ ngay với bác sĩ nha khoa để nhận được sự tư vấn và điều trị kịp thời.
Hy vọng với những thông tin chi tiết được trình bày, bạn đã có thêm kiến thức cần thiết về phương pháp cắm vít niềng răng. Hiểu rõ về kỹ thuật này sẽ giúp bạn đưa ra quyết định sáng suốt cho quá trình chỉnh nha của mình. Để đạt được kết quả chỉnh nha hiệu quả và an toàn, quan trọng là lựa chọn một địa chỉ nha khoa uy tín, có kinh nghiệm lâu năm trong việc điều chỉnh sai lệch răng, đồng thời đảm bảo cung cấp khí cụ chất lượng và trang thiết bị hiện đại, đầy đủ.


