Việc mất răng có thể được gây ra bởi nhiều nguyên nhân khác nhau nhưng tất cả đều ảnh hưởng trực tiếp đến sức khỏe, vẻ đẹp của khuôn mặt và khả năng giao tiếp xã hội của mỗi người. Tuy nhiên, nhiều người vẫn có thái độ chủ quan hoặc chưa hiểu rõ đầy đủ về những hậu quả của việc mất răng.
Các yếu tố gây mất răng
Mất răng là một vấn đề phổ biến trong xã hội và có thể gây ra nhiều tác động không chỉ về mặt sức khỏe mà còn ảnh hưởng đến chất lượng cuộc sống và tự tin của người bị ảnh hưởng. Để hiểu rõ hơn về nguyên nhân và yếu tố gây mất răng, chúng ta cần xem xét một loạt các yếu tố có thể đóng vai trò trong quá trình này:
- Mảng bám và vi khuẩn: Mảng bám là một lớp vi khuẩn và chất nhầy hình thành trên bề mặt răng nếu không được vệ sinh đúng cách. Nếu mảng bám không được loại bỏ, vi khuẩn có thể gây ra sâu răng và viêm nướu, dẫn đến hủy hoại men răng và cuối cùng là mất răng.
- Sâu răng: Sâu răng là một vấn đề phổ biến do vi khuẩn gây ra. Nếu không được điều trị kịp thời, sâu răng có thể lan rộng và ảnh hưởng sâu vào cấu trúc nội bộ của răng, làm hỏng men răng và cuối cùng dẫn đến mất răng.
- Viêm nướu: Viêm nướu là tình trạng vi khuẩn xâm nhập và gây viêm nhiễm ở nướu xung quanh răng. Nếu không điều trị, viêm nướu có thể dẫn đến mất men răng và suy thoái xương hàm, gây ra sự không ổn định cho răng và cuối cùng dẫn đến mất răng.
- Thói quen hút thuốc: Hút thuốc lá không chỉ gây hại cho sức khỏe tổng thể mà còn tác động tiêu cực đến sức khỏe răng miệng. Nicotine và các hợp chất hóa học trong thuốc lá có thể làm suy yếu men răng và gây viêm nướu, dẫn đến mất răng.
- Thói quen nhai đồ cứng: Nhai đồ cứng hoặc sử dụng răng như công cụ để mở đồ nặng có thể gây ra áp lực lớn lên răng và nướu, dẫn đến việc gãy hoặc mài mòn răng.
Di truyền: Yếu tố di truyền cũng có thể đóng vai trò trong việc gây mất răng. Một số người có gen mềm men răng hoặc cấu trúc xương hàm yếu, tăng nguy cơ mất răng.
Tất cả các yếu tố này cùng đóng góp vào sự suy giảm của sức khỏe răng miệng và có thể dẫn đến mất răng nếu không được điều trị và quản lý đúng cách. Điều quan trọng là nhận biết và giảm thiểu những yếu tố này thông qua việc thực hiện chăm sóc răng miệng định kỳ và duy trì một lối sống lành mạnh.
Xem thêm: Mất răng có bị lệch mặt không? Khắc phục vấn đề lệch mặt do mất răng
Hậu quả của việc mất răng nghiêm trọng như thế nào?
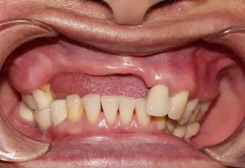
Người bình thường thường có từ 28 đến 32 chiếc răng, mỗi chiếc răng đều đảm nhận một chức năng và nhiệm vụ cụ thể trên cung hàm. Trong trường hợp bạn bị mất răng, việc trồng lại sớm sẽ mang lại lợi ích tốt nhất. Vì khi người trưởng thành mất răng, không có cách nào để khôi phục và hậu quả của việc mất răng là vô cùng nghiêm trọng:
Ảnh hưởng đến khả năng nhai và làm suy giảm chức năng tiêu hóa
Mất răng khiến việc ăn uống trở nên vô cùng khó khăn vì những khoảng trống từ việc mất răng làm cho thức ăn không được nghiền nhỏ trước khi đi xuống dạ dày. Điều này buộc dạ dày phải hoạt động cực kỳ nhiều, tạo ra tình trạng quá tải và dễ bị tổn thương, thậm chí gây ra đau dạ dày. Đồng thời, cơ thể cũng trở nên suy yếu hơn do không thể hấp thụ đủ chất dinh dưỡng.
Ảnh hưởng đến khớp răng, làm dịch chuyển xô lệch răng
Tác hại của việc mất răng không chỉ làm giảm sức mạnh của quá trình nhai mà còn gây ra tình trạng xô lệch răng và sai lệch trong khớp cắn. Hệ thống răng vốn dĩ được cấu trúc đồng nhất, hỗ trợ cân bằng và phân phối đều lực nhai trên toàn bộ cung hàm. Khi mất một chiếc răng, sự mất mát này dẫn đến giảm khả năng nâng đỡ, khiến cho răng đối diện bắt đầu dịch chuyển lên hoặc xuống, tạo ra sự không đồng đều trong cấu trúc răng.
Khi mất răng, sự phân bố lực nhai trên cung hàm sẽ bị mất cân bằng, khiến cho hai chiếc răng bên cạnh vị trí răng mất phải chịu áp lực lớn hơn bình thường. Lâu dần, những chiếc răng này có thể bị trượt dịch, tạo ra khoảng trống trong hàm răng. Hệ quả là các răng khác cũng có nguy cơ xô lệch, ảnh hưởng đến khớp cắn và thẩm mỹ khuôn mặt.
Ngoài ra, khoảng trống do răng mất còn tạo điều kiện thuận lợi cho thức ăn mắc kẹt, vi khuẩn phát triển, dẫn đến các vấn đề về sức khỏe nướu và răng như sâu răng, viêm nướu, thậm chí là bệnh nha chu. Nếu không được điều trị kịp thời, những bệnh lý này có thể gây ra những biến chứng nguy hiểm cho sức khỏe tổng thể.

Xem thêm: Mất răng lâu năm có trồng được không?
Gây ra tình trạng tiêu xương hàm
Lực nhai tác động lên xương hàm, giúp kích thích và duy trì mật độ xương. Khi mất răng, sự thiếu hụt lực nhai làm cho xương hàm dần mất điều này. Kết quả là, các răng lân cận có thể bị xô lệch về phía khoảng trống, trở nên lung lay và có thể dẫn đến mất thêm nhiều răng.
Nguy hiểm hơn là việc tiêu xương hàm còn ảnh hưởng đến xoang hàm. Khi xương hàm mất điểm nâng đỡ, xoang hàm có thể mở rộng ra và dần dần tụt xuống gần với nướu. Điều này có thể dẫn đến các vấn đề như viêm xoang và khó thở.
Mất răng gây ra đau đầu, đau cổ vai
Tại sao mất răng lại gây ra tình trạng đau cổ vai và đau đầu? Mất răng khiến cho hàm nhai mất cân bằng, do đó, lực nâng đỡ không được phân phối đều lên các răng nữa. Các răng kế cận vùng mất răng phải chịu nhiều lực nhai hơn bình thường, tạo ra một sự thay đổi bất thường trong hệ thống nhai. Điều này ảnh hưởng đến biên độ dao động của khớp thái dương, gây ra đau đầu và đau vai gáy sau khi mất răng.
Gây ra tình trạng khả năng phát âm không chính xác
Răng không chỉ đóng một vai trò quan trọng trong việc ăn uống mà còn trong việc giao tiếp hàng ngày. Mất răng có thể tạo ra trở ngại trong việc phát âm từ ngữ. Trong quá trình nói chuyện, bạn có thể gặp phải tình trạng nói ngọng, thổi hơi ra ngoài hoặc thậm chí là văng nước bọt.
Gây mất thẩm mỹ và cản trở giao tiếp
Mất răng có thể gây ra các vấn đề về thẩm mỹ, ảnh hưởng đến nụ cười và sự tự tin. Điều này còn có thể gây ra tình trạng tự ti, trầm cảm và ảnh hưởng đến cuộc sống hàng ngày và hiệu suất làm việc của bạn.
Gây tình trạng lão hóa sớm
Một trong những hậu quả lớn của mất răng là quá trình lão hóa sớm. Khi xương hàm mất dần do mất răng kéo dài, hai bên má có thể hóp lại, da mặt trở nên chảy xệ và vùng da xung quanh miệng xuất hiện nếp nhăn. Điều này khiến khuôn mặt trông già hơn đáng kể so với tuổi thật.
Ảnh hướng đến dây thần kinh tạo ra sự rối loạn khớp thái dương hàm
Răng đóng vai trò quan trọng trong việc điều chỉnh cảm giác và kích thích các cơ mặt thông qua mạng lưới dây thần kinh. Tuy nhiên, khi mất một hoặc nhiều răng trên hàm, có thể gây ra sự lệch hàm, răng thưa hoặc mất, dẫn đến việc cắn không đúng và tình trạng mất xương hàm kéo dài.
Mất răng có thể gây rối loạn trong việc hỗ trợ của khớp cắn đối với khớp thái dương hàm, dẫn đến sự rối loạn chức năng của khớp thái dương hàm và điều này có thể gây đau đầu, đau ở vùng thái dương, cũng như các triệu chứng thông thường khác ở khu vực cổ-vai-gáy.

Ảnh hưởng đến sức khỏe toàn diện
Việc mất răng dẫn đến giảm khả năng nhai, gây ra tác động tiêu cực đối với việc ăn uống và gây đau khi ăn. Do đó, người bị mất răng thường hạn chế ăn các loại thực phẩm cần nhai nhiều, dẫn đến việc họ tiêu thụ ít thực phẩm giàu chất xơ và vitamin. Điều này có thể dẫn đến các vấn đề sức khỏe như thiếu vitamin A hoặc táo bón do không đủ chất xơ trong chế độ ăn uống.
Xem thêm: Trồng răng Implant là gì? Cấy ghép Implant dành cho những ai?
Có những phương pháp điều trị nào khi bị mất răng?
Nhiều người thường băn khoăn về cách xử lý khi mất răng, đặc biệt là khi mất nhiều răng. Trong trường hợp mất răng, có thể áp dụng một số phương pháp để giải quyết vấn đề này và giảm thiểu các rủi ro biến chứng do mất răng, bao gồm:
Trồng răng giả tháo lắp
Đây là phương pháp thường được sử dụng cho người cao tuổi hoặc những bệnh nhân đã mất răng từ lâu. Phương pháp này có thể được áp dụng khi mất một hoặc nhiều răng, thậm chí cả hàm răng. Bằng cách sử dụng một hàm giả có phần mô nướu gắn trực tiếp lên nướu của bệnh nhân, có thể tạo ra hàm giả bán phần hoặc toàn phần tùy thuộc vào từng trường hợp. Khi sử dụng kỹ thuật hàm giả tháo lắp, người dùng hoàn toàn có thể tháo ra để vệ sinh dễ dàng. Tuy nhiên, phương pháp này có một số nhược điểm như hàm giả có thể bị cong và lệch khi bị tác động bởi một lực mạnh, khả năng nhai yếu, dễ rơi sau một thời gian sử dụng, và không thể ngăn chặn sự tiêu xương. Do đó, kỹ thuật này hiện nay không còn được sử dụng rộng rãi.
Cầu răng sứ
Phương pháp thay thế răng mất hiệu quả này có thể giảm bớt một số nhược điểm của hàm tháo lắp giả nếu bạn mất một hay nhiều răng trong cùng một khu vực. Làm cầu răng sứ là một kỹ thuật trồng răng giả cố định, nhưng để thực hiện được cầu răng, hai răng lân cận phải đủ chắc khỏe để hỗ trợ cầu răng. Ưu điểm của phương pháp này là khả năng nhai tốt hơn so với hàm giả tháo lắp, tuổi thọ cao hơn và có vẻ tự nhiên hơn. Tuy nhiên, nhược điểm là việc làm sạch xung quanh răng bên dưới cầu răng khá khó khăn, không thể ngăn chặn sự tiêu xương, và cầu răng có thể bị sứt mẻ nếu ăn thức ăn cứng.
Trồng răng Implant
Trồng răng Implant thường được lựa chọn khi cần thay thế một hoặc nhiều răng ở các vị trí khác nhau trong khoang miệng. Phương pháp này hiện đại và có khả năng phục hồi chức năng ăn nhai gần như răng thật. Trong quá trình thực hiện, một trụ chân răng giả sẽ được gắn vào trong hàm, sau đó chiếc răng thay thế sẽ được gắn vào, tạo độ bám chắc chắn. Ưu điểm của phương pháp này bao gồm tuổi thọ kéo dài của răng giả, khả năng phục hồi chức năng nhai tốt, thẩm mỹ cao, không ảnh hưởng đến răng lân cận, và hạn chế tình trạng tiêu xương. Tuy nhiên, nhược điểm là đây là phương pháp phẫu thuật, do đó có thể gây ra một số biến chứng tương tự như các can thiệp phẫu thuật khác.
Biện pháp ngăn ngừa mất răng
Biện pháp ngăn ngừa mất răng là một phần không thể thiếu trong việc duy trì sức khỏe toàn diện của hàm răng và nướu. Dưới đây là một số biện pháp hiệu quả để ngăn ngừa mất răng:
- Vệ sinh răng miệng đúng cách: Đánh răng ít nhất hai lần mỗi ngày, đặc biệt là sau mỗi bữa ăn và trước khi đi ngủ. Dùng kem đánh răng có chứa Fluoride để giữ vệ sinh răng miệng. Sử dụng chỉ nha khoa hoặc bàn chải răng có đầu nhỏ để làm sạch các kẽ răng.
- Chăm sóc sức khỏe nướu: Viêm nha chu kéo dài có thể dẫn đến mất răng. Do đó, việc chăm sóc sức khỏe nướu là rất quan trọng.
- Kiểm tra định kỳ: Thăm khám định kỳ tại phòng khám nha khoa để phát hiện sớm các vấn đề về răng miệng.
- Chế độ ăn uống hợp lý: Hạn chế thực phẩm chứa nhiều đường để tránh các vấn đề về răng. Tăng cường bổ sung các thực phẩm giàu canxi và vitamin.
- Tránh chấn thương vùng đầu, mặt, cổ: Chấn thương vùng đầu, mặt hay cổ có thể làm tổn thương răng, nướu, xương ổ răng hoặc mô mềm của miệng.
- Chăm sóc răng miệng cho người cao tuổi: Răng cũng sẽ lão hóa theo thời gian. Do có cấu tạo và tính chất giống với xương, người cao tuổi thường gặp vấn đề về loãng xương và thiếu canxi.
Trên đây là những thông tin quan trọng về hậu quả của việc mất răng mà bạn cần hiểu để có thể đưa ra quyết định sớm nhất về việc khắc phục tình trạng này. Nếu bạn đang tìm kiếm một nha khoa uy tín và chất lượng, Thế giới nha khoa AB là sự lựa chọn hoàn hảo. Với đội ngũ nha sĩ giàu kinh nghiệm và trang thiết bị hiện đại, chúng tôi cam kết cung cấp dịch vụ chất lượng cao và đáp ứng mọi nhu cầu của bạn. Chúng tôi hiểu rằng mất răng không chỉ ảnh hưởng đến chức năng nhai và thẩm mỹ, mà còn gây ra những vấn đề tâm lý. Vì vậy, chúng tôi sẽ lắng nghe và tư vấn cho bạn về các phương pháp khắc phục phù hợp nhất với tình trạng răng của bạn.
Tại Thế giới nha khoa AB, chúng tôi cam kết mang đến cho bạn một nụ cười tươi sáng và sự tự tin. Chúng tôi luôn đặt sự chăm sóc tận tâm và hài lòng của bạn lên hàng đầu. Hãy đến với chúng tôi ngay hôm nay để trải nghiệm những giải pháp tuyệt vời cho sức khỏe răng miệng của bạn. Chúng tôi sẽ tạo ra sự khác biệt và giúp bạn có một nụ cười hoàn hảo và tự tin.
Xem thêm: Trồng răng implant bao lâu thì ăn được?


