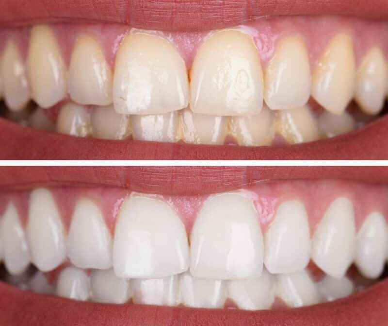
Tẩy trắng răng là một trong những phương pháp thẩm mỹ răng miệng được nhiều người lựa chọn để cải thiện màu sắc răng. Tuy nhiên, nhiều người vẫn băn khoăn không biết tẩy trắng răng có đau không? Trong bài viết này, sẽ giải đáp đầy đủ thắc mắc trên cũng như giúp bạn biết thêm các phương pháp tẩy trắng răng an toàn.
Tẩy trắng răng có tốt không?
Tẩy trắng răng là quá trình sử dụng các chất oxy hóa như Carbamide Peroxide hoặc Hydrogen Peroxide, chúng thấm qua lớp men răng và tương tác với ánh sáng để kích thích phản ứng oxy hóa. Quá trình này cắt đứt chuỗi phân tử màu trong ngà răng, mang lại hiệu quả làm trắng mà không gây tổn thương cho bề mặt răng, men răng, hay bất kỳ thành phần nào khác trong răng.
Hiện nay, có nhiều phương pháp làm thay đổi màu sắc của răng với tẩy trắng răng là một phương pháp phổ biến được ưa chuộng tại Việt Nam và trên toàn thế giới. Các nghiên cứu đã khẳng định rằng tẩy trắng răng, khi thực hiện đúng cách, không chỉ an toàn cho sức khỏe của nướu và răng, mà còn không tác động xấu đến men răng và không gây thay đổi cấu trúc răng.
Để đảm bảo an toàn và đạt kết quả tối ưu, việc tìm đến nha khoa sử dụng thuốc tẩy trắng chính hãng và hệ thống đèn tẩy trắng hiện đại là quan trọng. Việc tự tẩy trắng tại nhà cũng cần được giám sát và chỉ định bởi bác sĩ nha khoa để tránh tình trạng sử dụng thuốc không rõ nguồn gốc có thể gây nên các vấn đề răng miệng nghiêm trọng.

Kết quả của quá trình tẩy trắng răng có thể khác nhau tùy thuộc vào nguyên nhân và mức độ nhiễm màu ban đầu. Mặc dù độ trắng có thể giảm dần theo thời gian, nhưng răng vẫn giữ được màu trắng hơn so với trạng thái ban đầu.
Tuy nhiên, tẩy trắng răng không phải là một giải pháp phù hợp với tất cả mọi người. Những trường hợp như phụ nữ mang thai hoặc đang cho con bú, trẻ em dưới 16 tuổi, người mắc các vấn đề như viêm nha chu, răng sâu, mòn cổ răng, hở cổ chân răng hoặc có dấu hiệu dị ứng với thuốc tẩy trắng, nên tránh tiếp xúc với quá trình này để bảo vệ sức khỏe của họ.
Khi nào nên tẩy trắng răng
Nếu bạn cảm thấy thiếu tự tin trong giao tiếp hàng ngày vì hàm răng của mình không có sắc trắng mong muốn và bạn đang tìm kiếm cách để làm cho răng trắng hơn, thì một lựa chọn tốt có thể là thực hiện quá trình tẩy trắng răng.

Tẩy trắng răng là một phương pháp nha khoa khá đơn giản, thực hiện nhanh chóng và thường được áp dụng trong các trường hợp sau đây:
- Răng khỏe mạnh: Răng không bị mài mòn và có màu ố vàng do nhiều nguyên nhân khác nhau như: vệ sinh răng miệng không đúng cách, tiêu thụ thực phẩm và đồ uống có màu như cà phê, trà, đặc biệt là hút thuốc lá và tiếp xúc với nhiều vôi răng.
- Không có dấu hiệu bệnh lý răng miệng khác: Người thực hiện tẩy trắng răng không có các dấu hiệu của các bệnh lý răng miệng khác, đảm bảo rằng quá trình tẩy trắng không gây tổn thương cho răng hay nướu.
- Tuổi tác và tình trạng sức khỏe phù hợp: Người thực hiện tẩy trắng có độ tuổi không quá cao và không mắc một số bệnh mãn tính ảnh hưởng nhiều đến sức khỏe, đảm bảo an toàn và hiệu quả của quá trình tẩy trắng.
Tuy nhiên, trước khi quyết định tẩy trắng răng, bạn nên tham khảo ý kiến của bác sĩ nha khoa để đảm bảo rằng bạn đáp ứng đủ điều kiện và hiểu rõ về quá trình này. Việc thực hiện tẩy trắng răng dưới sự hướng dẫn chuyên nghiệp có thể đảm bảo kết quả tốt nhất và tránh mọi vấn đề không mong muốn.
Mặc dù phương án tẩy trắng răng gần như không gây hại cho cơ thể, tuy nhiên vẫn tồn tại một số trường hợp nên cân nhắc và không nên thực hiện quá trình này. Dưới đây là những trường hợp đó:
- Người bị dị ứng với thuốc tẩy trắng: Trong một số trường hợp, người có cơ địa nhạy cảm có thể phản ứng với các thành phần của thuốc tẩy trắng, do đó không nên thực hiện quá trình tẩy trắng răng.
- Phụ nữ mang thai và cho con bú: Phụ nữ đang mang thai hoặc đang cho con bú nên tránh tẩy trắng răng, do thành phần hoạt chất trong thuốc tẩy trắng có thể tác động đến sức khỏe của em bé.
- Trẻ em dưới 16 tuổi: Trong giai đoạn này, cấu trúc xương hàm của trẻ chưa ổn định và tủy răng dễ bị kích thích, nên không nên thực hiện tẩy trắng răng.
- Người cao tuổi và mắc bệnh mạn tính: Trước khi đưa ra quyết định về việc làm trắng răng, những người ở độ tuổi cao và đang mắc các bệnh mãn tính khác nên tham khảo ý kiến của bác sĩ để đảm bảo quá trình này diễn ra an toàn và đạt được hiệu quả mong muốn.
- Người có răng bị lộ do viêm lợi, mòn răng cơ học: Những tình trạng như viêm lợi, mòn răng cơ học do đánh răng sai cách hoặc hở chân răng có thể làm tăng rủi ro và là lý do để tránh tẩy trắng răng trong các trường hợp này.
Việc hiểu rõ về những trường hợp nên tránh tẩy trắng răng sẽ giúp mọi người đưa ra quyết định thông minh và bảo vệ sức khỏe nướu và răng của họ một cách tốt nhất.
Xem thêm: Bọc răng sứ bao lâu thì phải làm lại? Dấu hiệu răng sứ hết hạn
Các phương pháp tẩy trắng răng an toàn
Có một số phương pháp tẩy trắng răng an toàn tại nhà và tại nha khoa. Mời các bạn tham khảo:
Dùng máng tẩy trắng răng
Sau khi thăm khám với bác sĩ nha khoa, quá trình tẩy trắng răng thường bắt đầu bằng việc bác sĩ lấy dấu răng của bệnh nhân để tạo ra máng tẩy trắng răng cá nhân. Loại máng này thường được chế tạo từ nhựa plastic trong suốt, đảm bảo tính an toàn và không gây tổn thương cho nướu.
Chức năng chính của máng tẩy trắng là giữ chặt thuốc tẩy trắng, ngăn không cho nước bọt tràn vào trong quá trình tẩy trắng răng, đảm bảo hiệu suất tối đa của quá trình. Máng tẩy trắng có thiết kế chính xác để đảm bảo rằng thuốc tẩy trắng tiếp xúc đồng đều với bề mặt của từng chiếc răng.

Cuối cùng, bệnh nhân sẽ được cung cấp loại thuốc tẩy trắng có nồng độ thích hợp, thường khoảng 10-15%, và hướng dẫn chi tiết về cách sử dụng máng để đạt được kết quả tốt nhất. Bằng cách này, bệnh nhân có thể hoàn toàn chủ động thời gian thực hiện quá trình tẩy trắng, đồng thời giảm thiểu chi phí liên quan.
Phương pháp này đặc biệt hữu ích cho những trường hợp nhiễm màu nhẹ, nơi mà sự hiệu quả trong việc nâng tone màu răng có thể được quan sát rõ ràng. Tuy nhiên, đối với các tình trạng nhiễm màu nặng hơn, có thể cần đến những phương pháp tẩy trắng chuyên sâu hơn được thực hiện tại phòng mạch nha khoa.
Phương pháp tẩy trắng răng bằng máng ngậm là một lựa chọn có nhiều ưu điểm và nhược điểm đáng cân nhắc. Để đảm bảo quyết định chọn phương pháp này là phù hợp nhất, hãy xem xét các điểm sau đây.
Ưu Điểm:
- Dễ sử dụng và rất thuận tiện: Sau khi được hướng dẫn bởi các chuyên gia, bạn có thể áp dụng phương pháp này tại nhà một cách dễ dàng. Việc này đặc biệt phù hợp với những người có lịch trình bận rộn, vì bạn có thể thực hiện quá trình tẩy trắng răng trong khi làm việc hoặc tham gia vào các hoạt động hàng ngày khác.
- Tiết kiệm chi phí: So với nhiều phương pháp tẩy trắng răng khác, máng ngậm là lựa chọn hiệu quả chi phí. Chi phí không quá cao, và việc kiên trì thực hiện theo đúng quy trình có thể mang lại kết quả tốt.
- Phổ biến: Gần như tất cả các cơ sở nha khoa cung cấp dịch vụ tẩy trắng bằng máng ngậm, tạo điều kiện thuận lợi cho việc lựa chọn. Tuy nhiên, việc chọn cơ sở nha khoa uy tín và chất lượng vẫn cần được xem xét kỹ lưỡng.
Nhược Điểm:
- Không phù hợp với mọi đối tượng: Đối với những trường hợp răng ố màu lâu năm hoặc từ nhỏ, máng ngậm có thể không đạt hiệu quả cao. Sự cải thiện độ sáng của răng có thể diễn ra chậm và không đáng kể, đặc biệt khi người dùng tiếp tục ăn uống các thực phẩm gây ố màu.
- Bào mòn men răng: Sử dụng thuốc tẩy trắng mà không được hướng dẫn của bác sĩ hoặc quá liều có thể dẫn đến tình trạng bào mòn men răng, làm hỏng men răng nhanh chóng.
- Tăng nguy cơ viêm lợi: Việc không tuân thủ đúng hướng dẫn, như sử dụng quá giờ, quá liều thuốc, hoặc chọn máng ngậm không phù hợp có thể dẫn đến viêm lợi và viêm nha chu. Người có bệnh lý răng miệng sẵn có có thể phải đối mặt với tình trạng nghiêm trọng hơn khi sử dụng phương pháp này.
Dùng miếng dán trắng răng
Trên thị trường hiện nay, đa dạng các sản phẩm miếng dán trắng răng đang có sẵn để phục vụ nhu cầu làm đẹp răng của khách hàng. Các sản phẩm này không chỉ đơn giản về cách sử dụng mà còn mang lại hiệu quả làm trắng và làm sáng răng một cách dễ dàng. Đặc biệt, phương pháp này rất thuận tiện, chỉ cần dán hai miếng trắng răng lên và chờ đợi khoảng 30 phút để trải nghiệm sự thay đổi.
Tuy nhiên, trong lúc có sự thuận lợi từ việc sử dụng miếng dán trắng răng, cần lưu ý rằng trên thị trường cũng xuất hiện nhiều sản phẩm không rõ nguồn gốc xuất xứ. Sử dụng những sản phẩm không đảm bảo chất lượng có thể gây ra không chỉ làm mất hiệu quả tẩy trắng mà còn tăng khả năng xuất hiện các vấn đề rủi ro cho sức khỏe răng miệng.

Việc lựa chọn miếng dán trắng răng nên được thực hiện cẩn thận, ưu tiên chọn những sản phẩm có nguồn gốc rõ ràng và được chứng nhận bởi các tổ chức y tế. Điều này giúp đảm bảo an toàn cho sức khỏe răng miệng và đồng thời đạt được kết quả tối ưu trong quá trình làm trắng răng.
Miếng dán trắng răng chứa các chất tẩy trắng và hoạt động theo cơ chế giữ chặt chúng trên bề mặt răng, tạo điều kiện cho chúng hoạt động trong thời gian đủ lâu để răng có thể nhanh chóng bật tông. Đây không phải là sự ngẫu nhiên, mà phương pháp này đang thu hút sự ưa chuộng của nhiều người nhờ những ưu điểm đáng kể:
- Thực hiện đơn giản: Việc đặt miếng dán lên răng trong một khoảng thời gian nhất định là cách thực hiện vô cùng đơn giản. Thuốc tẩy trắng trong miếng dán sẽ phát huy tác dụng một cách hiệu quả trên răng.
- Răng trắng sáng tự nhiên: Chỉ sau khoảng 10 – 15 ngày sử dụng, miếng dán trắng răng giúp răng trở nên trắng sáng tự nhiên. Đây là một kết quả nhanh chóng và hiệu quả mà nhiều người đánh giá cao.
- Giá thành hợp lý: Miếng dán trắng răng thường có giá thành rẻ hơn so với các biện pháp tẩy trắng tại phòng nha. Điều này là một ưu điểm quan trọng, làm cho phương pháp này trở nên phổ biến và tiện lợi cho nhiều người.
- Thuận tiện cho người bận rộn: Với những người không có nhiều thời gian để đến phòng khám, miếng dán trắng răng là một lựa chọn thuận tiện. Bạn có thể thực hiện quá trình này bất cứ khi nào có thời gian rảnh rỗi mà không cần phải đến phòng nha.
Bên cạnh những lợi ích đã nêu, miếng dán trắng răng cũng mang theo những nguy cơ tiềm ẩn đối với sức khỏe răng miệng, như chúng ta cần cân nhắc:
- Không xác định được nồng độ thuốc tẩy phù hợp: Mỗi tình trạng răng đòi hỏi một nồng độ thuốc tẩy trắng khác nhau. Mặc dù thông tin về nồng độ có thể thấy trên bao bì sản phẩm, nhưng đối với người sử dụng, việc xác định đúng nồng độ phù hợp với tình trạng riêng của mình là một thách thức. Điều này có thể làm tổn thương men răng, tăng nguy cơ viêm loét lợi.
- Gây kích ứng nướu và mô mềm: Việc tự áp dụng miếng dán trắng răng không cho phép cách lý rõ ràng với môi, nướu, và các mô mềm khác. Thuốc tẩy trắng có thể gây kích ứng nướu, với nhiều trường hợp dẫn đến bỏng nướu và nhiễm trùng nướu. Việc cẩn thận khi đặt miếng dán là rất quan trọng để tránh tình trạng này.
- Cần kiên trì thực hiện: Mặc dù nhiều sản phẩm quảng cáo về hiệu quả nhanh chóng, thực tế là cần phải kiên trì thực hiện miếng dán trắng răng để thấy được kết quả. Đối với những tình trạng nhiễm màu nặng, phương pháp này có thể không hiệu quả. Đồng thời, sử dụng quá nhiều lần có thể gây bào mòn men răng và tạo ra những vấn đề sức khỏe khác.
- Hiệu quả không duy trì lâu dài: Kết quả của tẩy trắng răng bằng miếng dán có thể giữ được trong khoảng 6 tháng – 1 năm, sau đó răng có thể trở lại tình trạng nhiễm màu. Điều này đòi hỏi việc sử dụng liên tục, nhưng đồng thời cũng tăng nguy cơ bào mòn men răng và những vấn đề khác.
- Răng không đều màu: Nếu miếng dán không được đặt đều trên bề mặt răng, có thể dẫn đến tình trạng răng không đều màu. Điều này có thể làm mất đi sự đồng đều và thẩm mỹ của hàm răng, tạo nên vấn đề về mặt thẩm mỹ.
Tóm lại, tẩy trắng răng bằng miếng dán có lợi ích về đơn giản, chi phí, và tiện lợi, nhưng cũng đi kèm với những rủi ro và cần phải thực hiện cẩn thận để tránh các vấn đề sức khỏe răng miệng.
Tẩy trắng răng chuyên nghiệp
Với việc tẩy trắng răng khi sử dụng máy móc và thiết bị hiện đại sẽ giúp bộ răng của bạn sẽ trở nên trắng sáng và an toàn hơn khi chọn đúng bác sĩ giỏi và nha khoa uy tín. Dưới đây là một số kỹ thuật tẩy trắng răng chuyên nghiệp, các bạn tham khảo nhé.

Tẩy trắng răng bằng laser
Tẩy trắng răng bằng laser hiện đang là một phương pháp nha khoa được đánh giá cao và rất được ưa chuộng, nhờ những ưu điểm vượt trội so với nhiều phương pháp khác.
- Hiệu quả tức thì: Quy trình tẩy trắng răng bằng laser mang lại hiệu quả gần như tức thì chỉ sau khoảng 1 giờ. Bước chiếu laser đóng vai trò quan trọng, kích hoạt thuốc tẩy trắng, giúp nó ngấm sâu vào men răng và bắt đầu phát huy tác dụng. Bạn sẽ tự thấy ngạc nhiên trước hiệu quả đáng kinh ngạc mà bạn đạt được ngay sau quá trình tẩy trắng răng bằng laser.
- Cải thiện tone màu răng đến 4,5 lần: Răng, sau quá trình này, trở nên trắng sáng hơn đến 4-5 lần so với màu răng ban đầu. Thuốc tẩy trắng xâm nhập sâu vào lớp men răng, phá hủy các liên kết hình thành sắc tố, giúp răng trắng sáng từ bên trong.
- Tuổi thọ lâu dài: Tẩy trắng răng bằng laser có thể giúp bạn sở hữu hàm răng sáng bóng, tự nhiên lên tới 3-5 năm nếu được chăm sóc và bảo vệ đúng cách.
- Đảm bảo an toàn cao: Bác sĩ sẽ tính toán và sử dụng thuốc tẩy trắng phù hợp với tình trạng sức khỏe và độ dày mỏng men răng của mỗi người. Điều này đảm bảo rằng quá trình tẩy trắng răng sẽ được thực hiện an toàn, tránh được các tình trạng ê buốt không mong muốn, đồng thời vẫn đảm bảo đạt được hiệu quả làm trắng như mong đợi.
Tuy nhiên, có một hạn chế đặc biệt của phương pháp sử dụng ánh sáng laser là nguy cơ gây hại khi chiếu vào mắt, đòi hỏi việc bảo vệ mắt của bệnh nhân và môi trường xung quanh trong suốt quá trình thực hiện thủ thuật. Ngoài ra, việc làm trắng răng bằng laser cũng hạn chế đối tượng và tình trạng răng, như đã được bàn luận trước đó. Cần chú ý đến những hạn chế khác của việc sử dụng các sản phẩm làm trắng răng, bao gồm:
- Thành phần hóa học mạnh: Thuốc tẩy trắng thường chứa các thành phần hóa học có hoạt tính mạnh, có thể ảnh hưởng đến men răng nếu sử dụng mà không tuân thủ đúng hướng dẫn.
- Ảnh hưởng đến cấu trúc răng và mô nướu: Các chất trong thuốc có thể tác động đến cấu trúc răng, chân răng, nướu và lợi, tăng nguy cơ ê buốt do làm cho vùng này trở nên dễ tổn thương hơn, đặc biệt khi tiếp xúc với thức ăn quá nóng hoặc quá lạnh ngay sau quá trình làm trắng.
- Giới hạn trong việc lựa chọn sản phẩm: Việc lựa chọn sản phẩm làm trắng răng cũng có những hạn chế riêng, đặc biệt là khi không thực hiện đúng cách, có thể gây tổn thương và ảnh hưởng đến sức khỏe răng miệng.
Những điều trên là những vấn đề mà người tiêu dùng cần lưu ý khi xem xét việc sử dụng ánh sáng laser và các sản phẩm làm trắng răng để đảm bảo an toàn và hiệu quả.
Tẩy trắng răng bằng đèn Plasma
Phương pháp tẩy trắng răng Plasma là một công nghệ hiện đại đang được áp dụng rộng rãi tại nhiều nha khoa, đại diện cho sự tiến bộ và khắc phục hiệu quả nhiều hạn chế của các phương pháp truyền thống. Tuy nhiên, an toàn của quá trình tẩy trắng răng bằng Plasma phụ thuộc đặc biệt vào chất lượng của cơ sở nha khoa mà bạn lựa chọn.
Kỹ thuật tẩy trắng răng Plasma nhưng không phải tất cả các nha khoa đều đáp ứng được các tiêu chí an toàn và chất lượng. Quy trình an toàn và hiệu quả yêu cầu sự chuyên nghiệp từ phía bác sĩ, hệ thống máy móc hiện đại, cũng như các biện pháp vệ sinh vô khuẩn đặc biệt. Điều này chỉ đảm bảo khi bạn chọn lựa một cơ sở nha khoa đáp ứng đầy đủ các yêu cầu và tiêu chuẩn.
Có nhiều ưu điểm khi sử dụng phương pháp tẩy trắng răng bằng công nghệ Plasma, đặc biệt là:
- Thời gian thực hiện nhanh chóng: Plasma làm nhanh chóng quá trình hoạt hóa thuốc tẩy trắng, giảm đáng kể thời gian thực hiện. Ánh sáng xanh Plasma kích thích thuốc tẩy trắng thấm sâu vào men răng, tối ưu hóa tốc độ làm trắng răng.
- Không gây ê buốt và thoải mái: Trong quá trình tẩy trắng với Plasma, không có cảm giác ê buốt khó chịu. Ánh sáng xanh Plasma không tác động tiêu cực đến men răng, tạo cảm giác thoải mái cho người sử dụng.
- Hiệu quả cao: Nhờ ánh sáng Plasma, tác động của thuốc tẩy trắng được tối ưu hóa, mang lại kết quả làm trắng răng hiệu quả và nhanh chóng.
- Tiết kiệm thuốc tẩy trắng: Với Plasma, bạn có thể đạt được kết quả tốt mà không cần sử dụng lượng lớn thuốc tẩy trắng. Điều này không chỉ giúp tiết kiệm chi phí mà còn giảm nguy cơ gây hại cho men răng.
- Đảm bảo an toàn: Công nghệ Plasma được áp dụng trong môi trường nha khoa chuyên nghiệp, đảm bảo an toàn cho bệnh nhân và độ tin cậy của quá trình tẩy trắng.
Tuy nhiên, trong quá trình làm trắng răng bằng Plasma, ánh sáng từ đèn chiếu xuống có thể giảm nồng độ thuốc. Nhờ đó, bạn sẽ không bị ê buốt, khó chịu sau khi tẩy trắng.
Với việc tích hợp công nghệ Plasma, tẩy trắng răng mang lại hiệu quả vượt trội. Không chỉ giúp răng trắng sáng hơn, công nghệ này còn giúp làm đầy các khuyết điểm của men răng. Nhờ vậy mà răng sau khi tẩy trắng chắc khỏe hơn và hạn chế được các bệnh lý về răng miệng như sâu răng hay mòn men răng.
Tẩy răng răng bằng Plasma có tính hiệu quả tương đối lâu dài sau khi tẩy trắng răng. Tẩy trắng răng bằng Plasma có thể duy trì hiệu quả từ 3-5 năm, tùy vào tình trạng răng của mỗi người. Phương pháp này không chỉ giúp làm trắng răng từ sâu bên trong mà còn có tác dụng ngăn chặn sự hình thành của mảng bám và hạn chế thực phẩm bám vào răng gây ố vàng.
Tuy nhiên, không phải ai cũng là ứng viên lý tưởng cho việc tẩy trắng răng bằng đèn Plasma. Dưới đây là một số tình huống cụ thể mà bạn nên xem xét khi quyết định sử dụng phương pháp này:
- Răng bị ố và mất màu: Nếu răng của bạn bị ố và mất màu do sử dụng thuốc lá, uống cà phê, tiêu thụ rượu, sử dụng thuốc nhuộm, hoặc là kết quả của quá trình lão hóa tự nhiên, việc tẩy trắng bằng đèn Plasma có thể giúp làm sáng và cải thiện màu sắc của răng.
- Răng có màu vàng, nâu nhạt: Phương pháp tẩy trắng bằng đèn Plasma thường rất hiệu quả đối với những răng có màu vàng hoặc nâu nhạt. Ánh sáng đèn Plasma tăng cường độ tương phản, giúp loại bỏ các vết ố vàng và mang lại nụ cười sáng bóng hơn.
- Tình trạng răng khỏe mạnh: Trước khi quyết định tẩy trắng bằng đèn Plasma, răng của bạn cần được kiểm tra để đảm bảo không có vấn đề sức khỏe như sâu răng, nứt, hoặc viêm nướu. Việc tẩy trắng bằng đèn Plasma chỉ nên thực hiện trên răng khỏe mạnh để đảm bảo an toàn và đạt được kết quả hiệu quả.
- Mong muốn kết quả nhanh chóng: Nếu bạn mong muốn thấy kết quả nhanh chóng, quá trình tẩy trắng bằng đèn Plasma là sự lựa chọn phù hợp. Thông thường, chỉ mất khoảng 1-2 giờ tại phòng nha khoa và bạn có thể nhận thấy sự thay đổi ngay sau khi hoàn tất quy trình.
Tẩy trắng răng có đau không?
Hiện nay, đa phần các phương pháp tẩy trắng răng được áp dụng tại các phòng khám nha khoa đã chuyển sang sử dụng công nghệ hiện đại giảm thiểu sự gây đau nhức và khó chịu cho bệnh nhân. Thực tế, sau quá trình tẩy trắng, có thể xuất hiện cảm giác ê buốt nhẹ trong một khoảng thời gian ngắn, điều này được coi là một biểu hiện phổ biến và tự nhiên. Nguyên nhân của hiện tượng này liên quan đến hoạt chất trong thuốc tẩy trắng, gồm Hydrogen Peroxide và Carbamide Peroxide, làm giảm cấu trúc protein màu trên răng, đồng thời tạo nên cảm giác ê buốt.
Tuy nhiên, đừng lo lắng vì hiện tượng này thường tự giảm đi sau 1-2 ngày điều trị. Trong trường hợp cảm giác đau răng kéo dài và trở nên nghiêm trọng, việc đến ngay phòng khám để kiểm tra và xử lý là rất quan trọng. Có một số nguyên nhân phổ biến gây ra cảm giác đau nhức kéo dài sau khi tẩy trắng răng:
- Kỹ thuật tẩy trắng không đúng quy trình, không đạt chuẩn chất lượng và sử dụng phương pháp không an toàn.
- Thiếu việc thăm khám và điều trị các bệnh lý nướu, sâu răng trước khi thực hiện tẩy trắng, dẫn đến tăng cảm giác nhạy cảm.
- Cách ly không đúng trong quá trình tẩy trắng có thể gây kích ứng và bỏng rát.
- Sử dụng thuốc tẩy trắng không rõ nguồn gốc và với nồng độ cao có thể làm răng dễ bị ê buốt và đau nhức.
Nguyên nhân của cảm giác đau răng khi tẩy trắng răng chủ yếu xuất phát từ việc thực hiện quá trình này tại những phòng nha khoa thiếu chất lượng. Ngoài ra, tay nghề yếu kém của bác sĩ và trang thiết bị không đảm bảo cũng đóng góp vào việc làm cho trải nghiệm tẩy trắng trở nên khó chịu và tăng cảm giác ê buốt trên răng. Vì vậy, dưới đây là một số gợi ý giúp bạn vượt qua tình trạng đau răng sau khi tẩy trắng răng:
- Lựa chọn phòng khám uy tín: Hãy chọn những phòng khám răng có uy tín, nơi đội ngũ nha sĩ không chỉ có chuyên môn cao mà còn tận tâm đến sự thoải mái của bệnh nhân.
- Kiểm tra trang thiết bị: Đảm bảo phòng khám sử dụng trang thiết bị hiện đại và đạt chuẩn chất lượng tốt. Điều này sẽ giúp đảm bảo rằng quá trình tẩy trắng diễn ra an toàn và hiệu quả.
- Quy trình rõ ràng: Chọn những phòng khám có quy trình tẩy trắng răng rõ ràng, hiệu quả và an toàn. Nồng độ thuốc tẩy trắng cũng cần được điều chỉnh phù hợp với từng trường hợp cụ thể của bệnh nhân.
- Chế độ chăm sóc răng tại nhà: Sau khi tẩy trắng răng, thiết lập một chế độ chăm sóc răng khoa học tại nhà. Sử dụng các sản phẩm chăm sóc răng phù hợp và tuân thủ theo hướng dẫn để duy trì màu trắng sáng của răng.
Các lưu ý trước khi tẩy trắng răng
Để đảm bảo an toàn và đạt được kết quả trắng sáng như mong đợi, có những điều quan trọng mà bạn cần chú ý trước khi bắt đầu quá trình tẩy trắng răng. Quá trình này yêu cầu sự chăm sóc và giám sát chặt chẽ từ bác sĩ nha khoa:
- Kiểm tra và điều trị răng và nướu: Trước khi tiến hành tẩy trắng răng, việc thăm khám và điều trị về răng và nướu bởi bác sĩ là quan trọng. Điều này đảm bảo rằng răng của bạn ở trạng thái tốt nhất và không có vấn đề nào cần được giải quyết trước tẩy trắng.
- Lấy vôi răng: Nha sĩ sẽ thực hiện quy trình lấy vôi răng trước khi tiến hành tẩy trắng. Điều này giúp chuẩn bị bề mặt răng để quá trình tẩy trắng diễn ra hiệu quả hơn.
- Độ khác nhau của mỗi người: Do cấu trúc men và cơ địa của mỗi người là độc đáo, kết quả tẩy trắng răng có thể khác nhau. Trong một nghiên cứu, chỉ có 95% người tham gia đạt được kết quả như mong đợi, còn lại 5% không đáp ứng hoặc đáp ứng kém với thuốc tẩy trắng.
- Trường hợp không đáp ứng tốt: Các miếng trám, răng sứ, hoặc răng tháo lắp có thể không đáp ứng tốt với thuốc tẩy trắng. Ngoài ra, trường hợp răng nhiễm màu tetracycline cũng ít phản ứng tích cực với quá trình tẩy trắng, và đòi hỏi phương pháp kết hợp, thậm chí tẩy trắng răng tại nhà.
- Đối tượng hạn chế tẩy trắng răng: Phụ nữ mang thai và đang cho con bú, cũng như trẻ em dưới 16 tuổi, nên hạn chế hoặc không nên thực hiện quá trình tẩy trắng răng. Người viêm gan, HIV cũng nên tránh tẩy trắng để ngăn chặn rủi ro lây nhiễm cho người khác.
- Chọn địa chỉ tẩy trắng răng uy tín: Quá trình tẩy trắng răng nên được thực hiện tại các trung tâm nha khoa uy tín, có hệ thống máy móc và trang thiết bị đầy đủ để đảm bảo an toàn và hiệu quả
Tẩy trắng răng nên ăn và kiêng gì?
Quá trình tẩy trắng răng đóng vai trò quan trọng trong việc khắc phục các vấn đề như răng xỉn màu, ố vàng giúp tái tạo sự trắng sáng tự nhiên cho hàm răng. Để đảm bảo rằng kết quả tẩy trắng răng đạt được là tối ưu nhất, bạn cần chú ý đến việc duy trì một chế độ kiêng khem kỹ lưỡng.

Nguyên nhân của việc cần kiêng khem sau tẩy trắng răng là do men răng chưa đạt được sự ổn định ngay lập tức khiến cho răng trở nên dễ bám màu, từ đó gây hiện tượng răng sậm màu hơn so với trước quá trình tẩy trắng. Vì lẽ đó, sự cẩn trọng trong chế độ dinh dưỡng và sinh hoạt là không thể phớt qua.
Thêm vào đó, trong quá trình tẩy trắng các ống ngà răng mở ra, tạo điều kiện cho răng nhanh chóng nhiễm màu và trở nên nhạy cảm hơn. Do đó, việc duy trì vệ sinh răng miệng cùng với chế độ ăn uống đúng cách là quan trọng để ngăn chặn hiện tượng răng dễ bị ê buốt và mất màu.
Dựa vào lời khuyên từ các chuyên gia Răng Hàm Mặt, thực phẩm được ưu tiên sau quá trình tẩy trắng răng bao gồm các lựa chọn như sau:
- Thực phẩm mềm và không sẫm màu: Cơm, cháo, súp, sữa chua trắng, trứng, đậu phụ, bánh gạo, bánh mì…
- Nước lọc, nước khoáng, nước dừa hoặc sữa.
- Trái cây mềm và có màu nhạt như chuối, lê, táo, bưởi, mãng cầu…
- Những loại rau củ có độ giòn và màu sắc nhạt như khoai tây, bông cải, súp lơ, cần tây, cải thìa, hành tây, các loại nấm…
- Có thể ăn các loại cá như cá hồi, basa, diêu hồng và thịt để bổ sung dinh dưỡng như heo, gà, vịt, bò…
- Hải sản như tôm, mực, nghêu, sò, thịt cua, ghẹ không ảnh hưởng đến màu sắc của răng.
Ngoài ta, bạn cũng nên lưu ý việc lựa chọn những thực phẩm này sau khi tẩy trắng răng, có thể đối mặt với rủi ro rằng răng sẽ tái nhiễm màu và tình trạng mô nướu có thể bị tác động tiêu cực. Dưới đây là một số hạn chế và khuyến cáo để bảo vệ kết quả tốt nhất của quá trình tẩy trắng răng:
- Trong vòng 48 giờ sau khi tẩy trắng, tránh thực phẩm và đồ uống sậm màu như trà, cà phê, nước ép từ nho, cà rốt, cà chua.
- Trong 48 giờ đầu, hạn chế tiêu thụ các món như canh bún, bún riêu, bún bò, bún đỏ và loại bỏ món cà ri khỏi danh sách thực phẩm của bạn, vì chúng được coi là những thực phẩm có khả năng làm thay đổi màu răng nhanh chóng theo đánh giá của các bác sĩ.
- Tránh thực phẩm có màu sẫm như bánh kẹo, socola, rượu vang đỏ, nước sốt, đặc biệt là nước sốt cà chua.
- Không uống nước ngọt, soda, hạn chế rượu bia, cả rượu trắng.
- Hạn chế ăn thực phẩm quá chua như cam, chanh, quýt, bưởi, dâu, thơm, do chúng chứa nhiều axit có thể kích thích gây ê buốt răng và kích thích tủy răng.
- Tránh sử dụng thực phẩm và đồ uống quá lạnh hoặc quá nóng.
- Tuyệt đối không hút thuốc lá, vì nhựa từ thuốc lá là một trong những chất gây mảng bám trên răng nhiều nhất.
- Trong khoảng thời gian 1 tuần sau khi tẩy trắng, tránh sử dụng son môi có màu đậm, vì màu sắc của son có thể dính chặt vào răng và gây khó khăn trong việc loại bỏ.
Địa chỉ tẩy trắng răng uy tín tại TP.HCM
Nha khoa AB nổi tiếng là một địa chỉ uy tín hàng đầu tại Thành phố Hồ Chí Minh trong lĩnh vực tẩy trắng răng mang đến cho bệnh nhân trải nghiệm chăm sóc nha khoa chất lượng và hiệu quả. Nha khoa AB cam kết mang đến cho khách hàng hàm răng trắng sáng, tự tin với dịch vụ tẩy trắng răng hàng đầu, được thực hiện bởi đội ngũ nha sĩ chuyên nghiệp và giàu kinh nghiệm, sử dụng các sản phẩm và công nghệ hiện đại, đảm bảo an toàn và hiệu quả.

Một trong những điểm độc đáo của nha khoa AB là trang thiết bị hiện đại và tiên tiến, được nhập khẩu từ những thương hiệu uy tín trên thế giới. Điều này giúp đảm bảo quá trình tẩy trắng răng diễn ra một cách chính xác và an toàn nhất, mang lại kết quả tự nhiên và lâu dài.
Nha sĩ tại nha khoa AB không chỉ chú trọng vào việc tẩy trắng răng mà còn chú trọng vào quá trình thăm khám và đánh giá tổng thể sức khỏe răng của bệnh nhân. Điều này đảm bảo rằng mọi vấn đề về răng và nướu được phát hiện và điều trị kịp thời.
Ngoài ra, nha khoa AB còn có đội ngũ nhân sự thân thiện và phục vụ chuyên nghiệp. Bệnh nhân sẽ cảm nhận được sự thoải mái và tin tưởng từ đội ngũ nhân viên nhiệt tình và tận tâm.
Tóm lại, với đội ngũ chuyên gia hàng đầu, trang thiết bị hiện đại và cam kết đảm bảo an toàn và hiệu quả, nha khoa AB không chỉ là nơi tin cậy cho dịch vụ tẩy trắng răng mà còn là điểm đến lý tưởng cho bất kỳ vấn đề nha khoa nào tại Thành phố Hồ Chí Minh.


