Viêm nha chu là một bệnh nhiễm trùng nướu nghiêm trọng gây tổn thương cho các mô xung quanh răng, thường xuất phát từ thói quen vệ sinh răng miệng không đúng cách. Nếu không được điều trị kịp thời, viêm nha chu có thể gây ra hủy hoại xương nâng đỡ răng, dẫn đến lung lay răng hoặc thậm chí mất răng. Vậy viêm nha chu là bệnh gì và điều trị viêm nha chu hết bao nhiêu tiền? Dưới đây là thông tin giúp bạn hiểu rõ vấn đề này.
Viêm nha chu là gì?
Viêm nha chu là một bệnh nhiễm trùng nướu răng ở mức độ nặng, do vi khuẩn và các vi sinh vật khác tồn tại trên bề mặt răng và trong các túi nướu xung quanh răng. Khi số lượng chúng tăng lên, hệ thống miễn dịch sẽ phản ứng, gây ra tình trạng viêm quanh chân răng.
Viêm nha chu là một bệnh viêm mãn tính. Trong quá trình tiến triển, viêm nha chu có thể gây ra tổn thương cho xương và răng. Nếu không được điều trị đúng cách hoặc bị bỏ qua, có thể dẫn đến mất răng và tăng nguy cơ mắc các bệnh như đột quỵ, đau tim và các vấn đề sức khỏe khác. Tuy nhiên, nếu viêm nha chu được phát hiện và điều trị kịp thời, kèm theo việc duy trì vệ sinh răng miệng đúng cách, thì có thể hoàn toàn chữa khỏi.
Dấu hiệu cảnh báo bạn có thể đã bị viêm nha chu
Nếu bạn gặp những dấu hiệu sau đây, có khả năng cao bạn đã bị viêm nha chu:
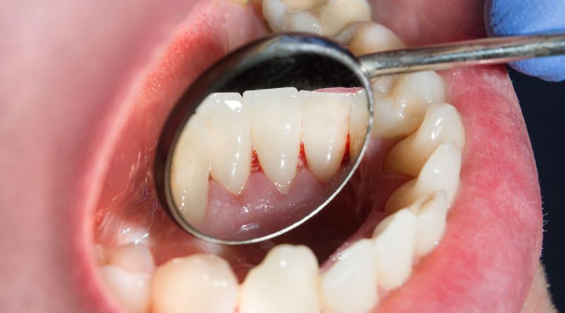
- Chảy máu và sưng tấy ở nướu: Mặc dù có thể xuất hiện ở giai đoạn ban đầu của bệnh, nhưng điều này không đồng nghĩa với việc triệu chứng nhẹ nhàng. Sự xuất hiện của chảy máu và sưng tấy cho thấy rõ sự tổn thương của các mô nướu. Việc theo dõi tình trạng sưng tấy là rất quan trọng. Nếu sưng tấy không chỉ xuất hiện ở một vùng mà còn lan rộng sang các vùng khác, điều này có thể cho thấy bệnh đang tiến triển nhanh chóng sang các giai đoạn tiếp theo.
- Loét miệng: Nếu là những vết loét thông thường, chúng thường sẽ tự lành trong thời gian ngắn. Tuy nhiên, trong những trường hợp bị nhiễm trùng, các vết loét có thể khó lành hơn nhiều. Đồng thời, tình trạng này có thể tái phát, gây ra cảm giác đau và không thoải mái cho người bệnh.
- Tụt nướu: Nếu không chú ý, việc nhận biết tụt nướu có thể rất khó khăn. Tuy nhiên, nếu bạn thường xuyên theo dõi và kiểm tra răng miệng, bạn có thể cảm nhận được sự thay đổi. Theo thời gian, tụt nướu có thể làm cho mô nướu bị kéo ra xa răng.
- Răng lung lay: Khi cả mô nướu và xương chỗ nằm răng đều bị tổn thương, đó là giai đoạn bùng phát của bệnh. Ban đầu, người bệnh có thể chỉ cảm nhận một răng bị lung lay, nhưng sau đó sẽ có ngày cảm thấy nhiều răng bị lung lay hơn. Nếu không được sửa chữa kịp thời, có nguy cơ mất răng vĩnh viễn.
- Đau và chảy máu khi chải răng, đau nướu khiến việc ăn uống trở nên khó khăn. Trong tình trạng này, nướu có thể bị tổn thương và xuất hiện các vết thương hở, do đó việc điều trị cần được thực hiện sớm.
Xem thêm: Nguyên nhân viêm quanh cuống răng là gì? Điều trị viêm quanh cuống răng dứt điểm
Nguyên nhân gây viêm nha chu
Viêm nướu ở tuổi dậy thì
Ban đầu, viêm nha chu có thể phát sinh từ viêm nướu ở tuổi dậy thì. Việc không điều trị và can thiệp kịp thời vào tình trạng viêm nướu có thể gây hại cho sức khỏe của răng miệng. Không chỉ dẫn đến viêm nha chu, mà còn có thể tiến triển thành những biến chứng nghiêm trọng hơn.
Vệ sinh răng miệng kém
Đối với những người có thói quen vệ sinh răng miệng kém, bệnh nha chu thường bắt đầu từ việc hình thành các mảng bám xung quanh răng. Các mảng bám này, nếu được tích tụ trong thời gian dài, sẽ tạo điều kiện thuận lợi cho sự phát triển của vi khuẩn, dẫn đến tình trạng viêm nhiễm.
Những nguyên nhân khác gây viêm nha chu
Thêm vào đó, viêm nha chu cũng có thể phát sinh từ các nguyên nhân khác như:
- Răng của người cao tuổi dễ bị suy yếu
- Hút thuốc lá và sử dụng quá mức các chất gây nghiện
- Biến đổi nội tiết tố do thai kỳ hoặc mãn kinh
- Chế độ ăn thiếu chất lượng và không khoa học
- Do di truyền
- Việc sử dụng kháng sinh và các loại thuốc điều trị có thể dẫn đến tình trạng mất nước hoặc khô miệng
- Người mắc các bệnh suy giảm hệ miễn dịch như bạch cầu, ung thư, HIV/AIDS
- Các bệnh tật khác như tiểu đường, viêm khớp, béo phì….
Xem thêm: Dấu hiệu viêm nha chu cần được chú ý. Ảnh hưởng của viêm nha chu như thế nào?
Viêm nha chu có biến chứng nguy hiểm như thế nào?
Viêm nha chu dẫn đến mất răng
Viêm nha chu hình thành do sự phát triển của vi khuẩn trong mảng bám răng. Nếu mảng bám này không được loại bỏ kịp thời, có thể dẫn đến sự biến chất thành vôi răng. Vôi răng là một loại chất cứng chứa nhiều vi khuẩn, và chỉ có phương pháp làm sạch răng chuyên nghiệp như cạo vôi răng mới có thể loại bỏ chúng.
Nếu không loại bỏ các mảng bám và vôi răng, vi khuẩn có thể sản sinh ra độc tố gây viêm nướu và sưng đỏ. Quá trình này có thể phá hủy mô nướu và gây ra sự mất kết nối giữa nướu và răng. Nếu không được điều trị kịp thời, bệnh có thể tiến triển đến giai đoạn tổn thương xương chân răng, với điểm cuối cùng là răng sẽ rụng hoặc cần phải được gỡ bỏ hoàn toàn.
Viêm nha chu tăng nguy cơ mắc bệnh tim và đột qụy
Nguyên nhân là do vi khuẩn gây viêm nha chu có thể xâm nhập vào dòng máu và lưu thông qua các động mạch. Các vi khuẩn này có thể bám vào thành của các động mạch cung cấp dưỡng chất cho tim, gây ra các cục máu đông nhỏ. Sự hình thành của cục máu đông này có thể làm giảm lưu lượng máu đến tim, gây ra cảm giác đau tim. Đồng thời, nó cũng có thể gây ra rối loạn lưu thông máu đến não, dẫn đến đột quỵ.
Tăng nguy cơ mắc bệnh tiểu đường
Vi khuẩn gây viêm nướu rò rỉ qua hệ tuần hoàn máu và tác động đến các tế bào, gây ra hiện tượng kháng insulin. Hiện tượng này làm cho tuyến tụy hoạt động quá mức dẫn đến cơ thể phải tăng sản xuất insulin. Đối với những người có tuyến tụy yếu, đây là nguyên nhân dẫn đến nguy cơ cao mắc bệnh tiểu đường.
Tăng nguy cơ mắc bệnh ung thư
Vi khuẩn từ viêm nha chu có thể gây ra các phản ứng tương tự trên các mô khác trong cơ thể. Viện Y tế Quốc gia của Mỹ đã cảnh báo rằng viêm nha chu có thể liên quan đến sự phát triển của ung thư từ lâu, vì khi các khối u phát triển, chúng có thể gây tổn thương và viêm nhiều hơn trên các mô xung quanh. Ngoài ra, một nghiên cứu được công bố trên tạp chí Annals of Oncology vào năm 2016 cũng chỉ ra rằng nam giới bị viêm nha chu có nguy cơ mắc ung thư cao hơn 13%.
Tăng nguy cơ phát triển bệnh tuyến tiền liệt
Khi tuyến tiền liệt bị viêm, kháng nguyên đặc hiệu tuyến tiền liệt (PSA) – một enzyme – được tiết ra nhiều hơn. Thực tế, nghiên cứu cho thấy rằng nam giới mắc bệnh viêm nha chu thường có mức PSA cao hơn, do đó có nguy cơ mắc bệnh viêm tuyến tiền liệt cao hơn. Hiện tượng này ảnh hưởng đến nam giới ở mọi độ tuổi. Triệu chứng thường gặp của bệnh bao gồm khó xuất tinh, đau ở vùng đáy chậu và tiểu rắt.
Xem thêm: Lấy tủy răng mất bao lâu thời gian? Yếu tố nào ảnh hưởng đến thời gian thực hiện
Viêm nha chu có chữa trị được không?
Viêm nha chu là một dạng nặng của bệnh nướu răng. Biểu hiện tiêu biểu bao gồm nướu đỏ, chảy máu và mềm, răng lung lay, hơi thở không dễ chịu, và tụt nướu. Mặc dù không thể chữa khỏi hoàn toàn, viêm nha chu có thể kiểm soát được thông qua chăm sóc và điều trị đúng cách. Bạn có thể duy trì tình trạng này bằng cách chăm sóc răng miệng hiệu quả, bao gồm việc vệ sinh và làm sạch răng đúng cách theo lời khuyên của nha sĩ về tần suất.
Khi nào cần gặp bác sĩ?
Nướu răng khỏe mạnh được mô tả là nướu rắn chắc và có màu hồng nhạt. Nếu nướu đột ngột sưng húp, đổi màu đỏ và dễ chảy máu, có thể đây là dấu hiệu của bệnh nha chu. Trong tình trạng này, việc tìm kiếm sự chăm sóc y tế kịp thời từ bác sĩ là rất quan trọng.
Nếu bạn gặp bất kỳ dấu hiệu hoặc triệu chứng như đã nêu trên, hoặc có bất kỳ câu hỏi nào, hãy tham khảo ý kiến của bác sĩ của bạn. Mỗi người có cơ địa khác nhau, vì vậy việc tìm kiếm sự tư vấn từ bác sĩ sẽ giúp bạn chọn được phương án phù hợp nhất.
Khi phát hiện mắc bệnh viêm nha chu nên làm những gì?
Khi phát hiện các dấu hiệu viêm nha chu, bệnh nhân cần đến bệnh viện gặp bác sĩ để được tư vấn và điều trị viêm nha chu kịp thời.
Phương pháp điều trị của bác sĩ sẽ thay đổi tùy theo tình trạng viêm của bệnh nhân.
Quy trình điều trị viêm nha chu
Với kinh nghiệm lâm sàng đa dạng và sự hỗ trợ của các thiết bị hiện đại, các bác sĩ tại Nha Khoa AB sẽ hướng dẫn quy trình sau để xử lý nhanh chóng và triệt để bệnh viêm nha chu của bạn:
Bước 1: Thăm khám,tư vấn và chụp X-quang
Bệnh nhân sẽ được thăm khám tổng quát toàn bộ khoang miệng, chụp phim để đánh giá mức độ bệnh lý và lên kế hoạch điều trị phù hợp.
Bước 2: Điều trị viêm nha chu
Trong giai đoạn đầu của viêm nha chu (viêm nướu), bác sĩ sẽ thực hiện việc làm sạch mảng bám bằng cách sử dụng cao răng siêu âm và hướng dẫn bệnh nhân về cách chăm sóc răng miệng đúng cách. Đồng thời, sẽ hẹn tái khám định kỳ để theo dõi tình trạng.
Khi các túi nha chu (ổ mủ) hình thành, bác sĩ sẽ thực hiện các biện pháp điều trị khẩn cấp để ngăn chặn vi khuẩn xâm nhập sâu và phá hủy chân răng. Phương pháp điều trị phổ biến là trám bít ống tủy, giúp bảo vệ răng khỏi vi khuẩn và ngăn ngừa biến chứng nặng hơn.
Trong giai đoạn viêm nha chu nặng và mất răng, khi viêm nha chu trở nên quá nặng và không thể bảo toàn được chân răng, bác sĩ sẽ chỉ định nhổ bỏ răng và thay thế bằng cầu răng sứ hoặc sử dụng phương pháp cấy ghép implant.
Bước 3: Hướng dẫn cách chăm sóc răng miệng sau khi điều trị
Thăm khám và vệ sinh, tiến hành sát khuẩn cho toàn bộ khoang miệng, hướng dẫn bệnh nhân về cách chăm sóc răng miệng và lên lịch tái khám cụ thể.
Xem thêm: Cầu răng sứ là gì? Làm cầu răng sứ có đau không?
Phương pháp điều trị viêm nha chu
Điều trị khẩn cấp viêm nha chu
Bao gồm các trường hợp bị áp xe niêm mạc hoặc nướu, biểu hiện bao gồm sưng đỏ và đau ở niêm mạc, cùng với hiện tượng phập phồng khi sờ vào nướu.
Việc sử dụng thuốc chống viêm và kháng sinh có thể giúp làm giảm ổ mủ tạm thời, nhưng bệnh không được loại bỏ mà tiếp tục phát triển thành tình trạng mạn tính. Đôi khi, bệnh có thể bùng phát thành cơn cấp tính, sau đó lặp lại theo chu kỳ và trở nên nghiêm trọng hơn.
Điều trị không phẫu thuật
Các phương pháp điều trị không phẫu thuật thường mang lại hiệu quả cho những người mắc viêm nha chu từ nhẹ đến trung bình. Các phương pháp này bao gồm:
- Thuốc kháng sinh có thể được nha sĩ kê đơn dưới dạng uống để chống lại nhiễm trùng, hoặc áp dụng trực tiếp dưới nướu vào vị trí bị ảnh hưởng.
- Quy trình cạo vôi và làm sạch gốc răng, còn được gọi là làm sạch sâu, tương tự như việc làm sạch thông thường. Bệnh nhân được tê cục bộ để làm tê nướu. Bác sĩ loại bỏ vi khuẩn sâu kẽm giữa răng và nướu, sau đó làm nhẵn bề mặt của chân răng để ngăn chặn sự tích tụ của mảng bám và vi khuẩn. Sau một tháng từ quá trình cạo vôi răng, việc kiểm tra nướu và xác định hiệu quả của liệu pháp được thực hiện thông qua cuộc hẹn với bác sĩ.
- Kiểm tra các miếng trám răng, điều chỉnh hoặc thay thế chúng khi cần. Tiến hành phục hình những răng đã được trám không đúng kỹ thuật hoặc tạm thời.
- Có các phương pháp cố định để xử lý vấn đề răng lung lay.
- Loại bỏ răng khi chúng không còn có khả năng giữ được.
Điều trị bằng phẫu thuật
Nếu viêm nha chu tiến triển từ trung bình đến nặng, phương pháp điều trị phẫu thuật được áp dụng, bao gồm:
- Tháo bỏ túi nha chu: Phương pháp này giúp giảm độ sâu của túi nha chu, tạo điều kiện thuận lợi cho việc vệ sinh và loại bỏ mảng bám.
- Tái tạo: Trong trường hợp túi nha chu sâu và chứa nhiều vi khuẩn, có thể gây hủy hoại thêm xương và mô nha chu, cũng như gây lung lay nghiêm trọng cho răng. Sau phẫu thuật, kết quả có thể là tái tạo lại phần xương và mô nha chu.
- Ghép mô mềm: Được sử dụng trong trường hợp chân răng lộ do tụt lợi. Phẫu thuật này có khả năng khôi phục hư hại và ngăn chặn sự tái phát của tụt lợi, từ đó ngăn chặn sự phá hủy của mô lợi và cấu trúc xương xung quanh răng. Bác sĩ sẽ xem xét từng trường hợp để quyết định liệu phẫu thuật cần thiết nhằm giảm thiểu tình trạng ê buốt và duy trì sự hài hòa ở viền lợi.
- Ghép xương răng: Trong trường hợp mất nhiều mô xương, nha sĩ hoặc bác sĩ nha khoa có thể đề xuất ghép xương. Trong quá trình này, bác sĩ sẽ sử dụng vật liệu ghép xương để điền vào các vùng thiếu xương. Loại vật liệu này có thể là xương của bệnh nhân, xương từ nguồn hiến tặng, hoặc vật liệu tổng hợp. Mảnh ghép này sẽ đóng vai trò như một khung xương hỗ trợ cho sự phát triển của xương mới.
Điều trị duy trì
Sau khi thực hiện các phương pháp điều trị tích cực và bệnh trạng ổn định, người bệnh cần phải thực hiện các cuộc kiểm tra định kỳ, theo dõi và thăm khám, cũng như áp dụng các liệu pháp duy trì để kiểm soát tình trạng, ngăn chặn sự tái phát và tiến triển của bệnh.
Khi bệnh viêm nha chu của bạn trở nên nghiêm trọng hơn, điều trị có thể trở nên khó khăn và đòi hỏi sự can thiệp của các phương pháp phẫu thuật. Để tránh những tình huống này, hãy tập trung vào các biện pháp phòng ngừa.
Viêm nha chu có lây không?
Viêm nha chu có lây không? Đây là câu hỏi mà nhiều người quan tâm về tình trạng bệnh này. Người mắc viêm nướu răng sẽ tiến triển qua hai giai đoạn, đó là viêm nướu và viêm nha chu.
Trong quá trình này, viêm nướu răng là giai đoạn đầu tiên. Lúc này, người bệnh có thể cảm nhận nướu sưng, đỏ, mềm, dễ chảy máu,… Do đó, tình trạng bệnh thường phát triển một cách âm thầm, thường chỉ gây ra cảm giác đau nhức nhẹ và khó chịu, có thể tự giảm sau vài ngày. Giai đoạn tiếp theo là viêm nha chu, khi nướu răng của bạn đã ở trạng thái nặng. Các triệu chứng của viêm nha chu bao gồm việc nướu tụt lợi, răng lung lay, tiêu xương ổ răng,… Để tránh mất răng vĩnh viễn và ảnh hưởng đến sức khỏe răng miệng, việc áp dụng biện pháp phòng ngừa càng sớm càng tốt.
Cả trẻ em và người lớn đều dễ mắc viêm nha chu, vì vậy nhiều người quan tâm liệu viêm nha chu có lây không là điều dễ hiểu. Chuyên gia nhấn mạnh rằng vi khuẩn gây ra viêm nha chu thường lọt vào khoang miệng qua đường nước bọt. Do đó, nguy cơ lây lan trong sinh hoạt hàng ngày với các thành viên trong gia đình là rất cao.
Vì lý do đó, mọi người mắc viêm nha chu thường trải qua một trong những dấu hiệu đầu tiên là viêm nướu răng. Do đó, quan trọng là bạn nên dành thời gian để thăm nha sĩ và kiểm tra tình trạng răng miệng của mình, cũng như nhận điều trị kịp thời và hiệu quả. Bên cạnh đó, việc này cũng giúp ngăn ngừa các vấn đề về sức khỏe răng miệng và tránh được những biến chứng nguy hiểm do viêm nha chu gây ra.
Điều trị viêm nha chu hết bao nhiêu tiền?
Chi phí điều trị viêm nha chu hiện nay có thể dao động từ 1.000.000VNĐ – 6.000.000VNĐ, thậm chí còn cao hơn vài chục triệu đồng. Sự chênh lệch trong mức giá này phụ thuộc vào tình trạng của bệnh, số lượng răng cần điều trị, phương pháp điều trị cũng như đơn vị nha khoa cụ thể.
Chi phí chữa viêm nha chu phụ thuộc vào hai yếu tố chính là mức độ nghiêm trọng của bệnh và phương pháp điều trị. Trong trường hợp nha chu nặng, việc áp dụng phương pháp điều trị lâu dài và phức tạp, kèm theo các phương pháp chuyên sâu như ghép mô, ghép xương, có thể tăng chi phí điều trị.
Nếu tình trạng viêm nha chu nhẹ hơn và không cần phẫu thuật, mà chỉ cần áp dụng các biện pháp ít xâm lấn, thì chi phí thường không cao. Phương pháp này thường bao gồm cạo vôi, làm ráng chân răng và kết hợp sử dụng thuốc kháng sinh để điều trị, với mức chi phí thấp hơn.
Để được tư vấn chi tiết về bệnh lý và phương pháp chăm sóc răng miệng, vui lòng liên hệ đến số Hotline 028 6274 6666 của Nha Khoa AB để được hỗ trợ.
Xem thêm: Bọc răng sứ giá bao nhiêu? Yếu tố ảnh hưởng đến chi phí
Cách trị bệnh viêm nha chu tại nhà
Để tránh việc viêm nha chu trở nên nghiêm trọng, dưới đây là một số mẹo chữa viêm nha chu tại nhà bạn có thể tham khảo:
- Dùng dung dịch gừng pha loãng để súc miệng
- Sử dụng hỗn hợp gồm nước cốt chanh và muối để thoa lên vùng nướu bị viêm nha chu.
- Thực hiện vệ sinh răng miệng đúng cách bằng cách sử dụng bàn chải có lông mềm và thăm nha sĩ để loại bỏ mảng bám một cách hiệu quả.
- Chải răng bằng baking soda.
- Tránh sử dụng chung bàn chải đánh răng để ngăn vi khuẩn lan truyền.
- Sử dụng dung dịch rượu ngâm cây lược vàng héo để súc miệng.
- Bổ sung nhiều trái cây và rau vào chế độ ăn uống hàng ngày.
- Sử dụng chỉ nha khoa, bàn chải kẽ răng và nước súc miệng chứa chất kháng khuẩn.

Phòng ngừa viêm nha chu
Viêm nha chu là một bệnh phổ biến và nguy hiểm, nhưng cũng dễ dàng phòng tránh. Để ngăn ngừa, bạn cần:
- Hãy đến phòng khám nha khoa định kỳ để nhận sự chăm sóc răng miệng từ các chuyên gia, và lấy cao răng định kỳ 6 tháng một lần để giảm nguy cơ viêm nướu và viêm nha chu.
- Hãy sử dụng bàn chải có lông mềm và không đánh răng quá mạnh để tránh tổn thương lợi. Đồng thời, hãy thay đổi bàn chải sau 3 – 4 tháng sử dụng. Bạn cũng có thể sử dụng bàn chải đánh răng điện để loại bỏ mảng bám và cao răng hiệu quả hơn.
- Chải răng hai lần mỗi ngày vào buổi sáng và tối, hoặc sau mỗi bữa ăn tùy theo nhu cầu của bạn.
- Áp dụng chỉ nha khoa, bàn chải kẽ răng hoặc nước súc miệng để loại bỏ mảng bám giữa các kẽ răng.
- Áp dụng chế độ ăn uống khoa học, chú trọng bổ sung rau xanh và trái cây để bảo vệ sức khỏe.
- Ngay khi phát hiện dấu hiệu của bệnh, hãy đi đến bác sĩ nha khoa ngay để tiến hành điều trị, tránh việc kéo dài có thể dẫn đến mất răng hoặc việc phải nhổ răng.
Xem thêm: Sưng nướu răng có nguy hiểm không? Các dấu hiệu bị sưng nướu răng
Điều trị viêm nha chu ở đâu an toàn và uy tín?
Nha Khoa AB tuân thủ các tiêu chuẩn nha khoa quốc tế, cung cấp đầy đủ các dịch vụ nha khoa, bao gồm cả điều trị viêm nha chu. Chúng tôi đã và đang đem lại kết quả hài lòng cho nhiều khách hàng.
Tại Nha Khoa AB, đội ngũ chuyên gia sẽ thăm khám, đánh giá tình trạng bệnh, và tư vấn các giải pháp cho mọi câu hỏi từ khách hàng, đồng thời chỉ định phương pháp khắc phục hiệu quả.
Nhờ vào kinh nghiệm, tay nghề và chuyên môn của đội ngũ bác sĩ tại đây, việc điều trị viêm nha chu ở mọi giai đoạn đều đạt được hiệu quả cao.
Việc điều trị viêm nha chu tại Nha Khoa AB được thực hiện trong các phòng nha khoa đạt chuẩn, có ghế nha khoa riêng biệt và tuân thủ đúng quy trình của Bộ Y tế.
Đặc biệt, địa chỉ này đảm bảo tính vô trùng cao, mỗi khách hàng cũng được cung cấp một bộ dụng cụ riêng, giúp loại bỏ hoàn toàn lo ngại về nhiễm trùng hoặc lây nhiễm chéo.


